Logo
Anti-stress dentistry

Anti-stress treatment — comfortable dental care for you 

Dentistry for those who are afraid of dentists. At Dynasty Stomatology, we offer pain-free dental treatment with a gentle, patient-friendly approach. Whether you’ve had a bad experience or feel anxious before your visit, we provide comfortable dental care and a relaxed atmosphere.  

Painless. Professional. Personal.

Why choose Dynasty Stomatology for anti-stress
dental treatment

Anti-stress dentistry

Stress-free dental care

We focus on providing stress-free dentistry for patients who are afraid of dental visits. With effective dental sedation, modern pain control, and gentle techniques, every calm dental experience becomes possible.

Anti-stress dentistry

Experienced team and safe sedation

Our team features a gentle dentist in Krakow, a certified anesthesiologist, and trained assistants. They work together to provide effective dental sedation and monitor vital signs to ensure a truly painless procedure.

Anti-stress dentistry

Modern equipment and dental comfort

We use modern equipment, innovative methods, and only high-quality materials to deliver painless technology and comfortable procedures. Every painless visit happens in a pleasant, patient-friendly setting.

What Is Anti-Stress Treatment?

Anti-stress treatment at Dynasty Stomatology is a modern approach for patients who feel anxious or avoid the dentist because of fear, pain, or past trauma. This method combines effective dental sedation, gentle dental care, and relaxation techniques to ensure a calm dental visit for both adults and children.

 

It’s the right solution for you if:

 

• you avoid dentists due to anxiety, fear, or embarrassment about your teeth;
• you’ve had a painful dental procedure in the past;
• you panic at the sound of dental tools or the smell of the clinic;
• you need a lot of dental work done in 1 or 2 sessions;
• your child needs stress-free dentistry, and you want a gentle pediatric experience.

Anti-stress dentistry

Not sure if anti-stress treatment is
right for you?

Let’s talk. At Dynasty Stomatology, we’ll help you explore the best options for painless dental care, from gentle sedation to complete anxiety-free treatment. Your comfort, safety, and peace of mind are our top priorities.

Take the first step toward a stress-free dental experience.  

Anti-stress dentistry

How anti-stress dental treatment works step by step

Step 01

Step 02

Step 03

Step 04

Step 01

01

Step 1 — Initial consultation

We begin with a thorough check-up, a review of your medical history, and diagnostics. Depending on your needs and level of dental anxiety, we suggest the most effective and comfortable sedation method. This is the first step toward a truly stress-free dental experience.
Step 02

02

Step 2 — Preparation for treatment  

You will receive all instructions in advance, including what to eat, how to prepare, and what to expect. We ensure you feel safe, informed, and ready for your painless visit.
Step 03

03

Step 3 — The procedure under sedation  

You will receive the necessary dental treatment while in a fully relaxed state. Whether it’s nitrous oxide, IV sedation, or general anesthesia, our team guarantees complete dental comfort and support during the entire procedure.
Step 04

04

Step 4 — Post-treatment care

After the procedure, we monitor your condition until you fully recover. Most patients feel minimal discomfort and return to daily life quickly. This is the essence of modern anti-stress dentistry.

Our doctors

View all doctors
Anti-stress dentistry

Anastasiia Danyliuk

  • General dentist
  • endodontist

Focuses not only on treatment effectiveness but also on patient comfort. Her main goal is to provide long-term results without the need for repeate…

Anti-stress dentistry

Yana Tereshchenko

  • General dentist
  • endodontist

Cares about both the health and the aesthetic and functional aspects of her patients’ teeth, helping preserve a natural, beautiful smile for years.

Anti-stress dentistry

Yuliia Rudzynska

  • Pediatric dentist

Helps children not only maintain healthy teeth but also develop a positive attitude toward dentistry, ensuring fear-free visits.

Anti-stress dentistry

Borys Minakov

  • Prosthodontist

His approach focuses on individually tailored treatment plans that not only solve current issues but also prevent future ones. This helps patients …

Anti-stress dentistry

Kostiantyn Danyliuk

  • Oral Surgeon
  • Implantologist

Konstantin is a skilled specialist who combines in-depth knowledge and cutting-edge technology to achieve the best results. He maintains active com…

Anti-stress dentistry

Vladyslav Karkachov

  • General dentist
  • endodontist
  • prosthodontist

Relies on a well-thought-out treatment plan and good rapport with the patient. A friendly approach helps build trust, even among those afraid of de…

Anti-stress dentistry

Yulia Kryzhanovska

  • General dentist
  • endodontist

A doctor with a sense of humor who creates a positive atmosphere even in the dental chair.

Anti-stress dentistry

Dmytro Ostrovskyi

  • Prosthodontist

Over 30 hands-on courses completed in 9 years of practice. A comprehensive approach guarantees stable, durable, and predictable results.

Anti-stress dentistry

Tetiana Pererva

  • Orthodontist

Over 5000 orthodontic cases in 16 years of practice. Believes orthodontics is about more than straight teeth — it’s about facial harmony. Actively …

Anti-stress dentistry

Rafal Kazanecki

  • Oral surgeon
  • implantologist

His experience in implantology and surgery allows him to effectively implement modern technologies, enabling quick and safe procedures. Rafał activ…

Anti-stress dentistry

Rostyslav Savruk

  • General dentist
  • endodontist
  • prosthodontist

Over 16 years of professional experience. Specialization in prosthetic dentistry and dental prosthetics. Use of advanced techniques and modern mate…

Anti-stress dentistry

Oleg Vus

  • General dentist
  • endodontist
  • prosthodontist

Oleg Vus is guided by the principles of professionalism, honesty, and patient care. He does not impose unnecessary procedures, but offers only the …

Anti-stress dentistry

Ivan Olefirenko

  • Anesthesiologist

Ivan is an experienced specialist who combines professionalism with an individualized approach to each patient. He started his career in a transpla…

The works of our doctors

View all our doctors' works
Anti-stress dentistry
Anti-stress dentistry

Problem: Comprehensive treatment was performed on tooth №25. First, endodontic treatment was carried out to preserve the vitality of the tooth, followed by the fabrication and placement of a post-core restoration to ensure reliable restoration of the internal structure. The final step was the installation of a zirconia crown, which not only restored functionality but also provided the tooth with a natural, aesthetic appearance.

Know more
Anti-stress dentistry
Anti-stress dentistry

Problem: The patient presented with bleeding gums and an old bridge. Over 3 months, full treatment was done: retreatment of root canals, tooth restoration, and zirconia crowns — the gums are healthy, and the teeth look functional and aesthetic.

Know more
Anti-stress dentistry
Anti-stress dentistry

Problem: Secondary caries was detected on teeth №6 and №7. Thorough treatment of the cavities was performed, followed by restoration using EsteLite photocomposite. The final step was polishing, which provided an aesthetic appearance and long-lasting functionality of the restoration.

Know more
Anti-stress dentistry
Anti-stress dentistry

Problem: Caries of the distal wall and occlusal surface was detected on the tooth. A thorough treatment of the cavity was performed, followed by restoration using EsteLite photocomposite. The final step was polishing, which provided the restoration with a natural shine and smoothness.

Know more
Anti-stress dentistry
Anti-stress dentistry

Problem: When fissure caries was detected, thorough treatment of the cavity was performed with the removal of all affected tissue. To restore the tooth, high-quality photocomposite EsteLite was used, allowing for an accurate reproduction of the natural color and texture of the enamel. The final step was polishing, which gave the restoration a natural shine and durability.

Know more
Anti-stress dentistry
Anti-stress dentistry

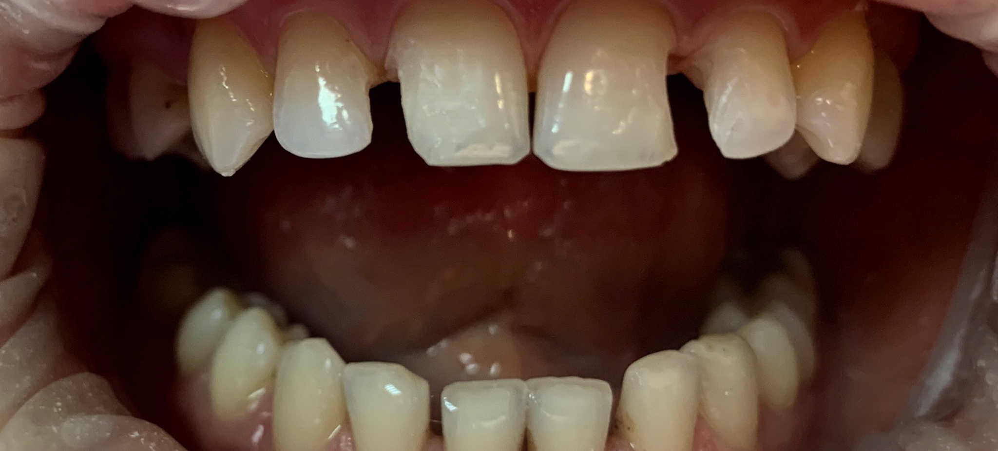
Problem: The patient came with minor discomfort and discoloration of a front tooth. A hidden cavity was discovered and treated using Asteria A2B, ensuring an invisible, natural-looking restoration that fully restored function.

Know more
Anti-stress dentistry
Anti-stress dentistry

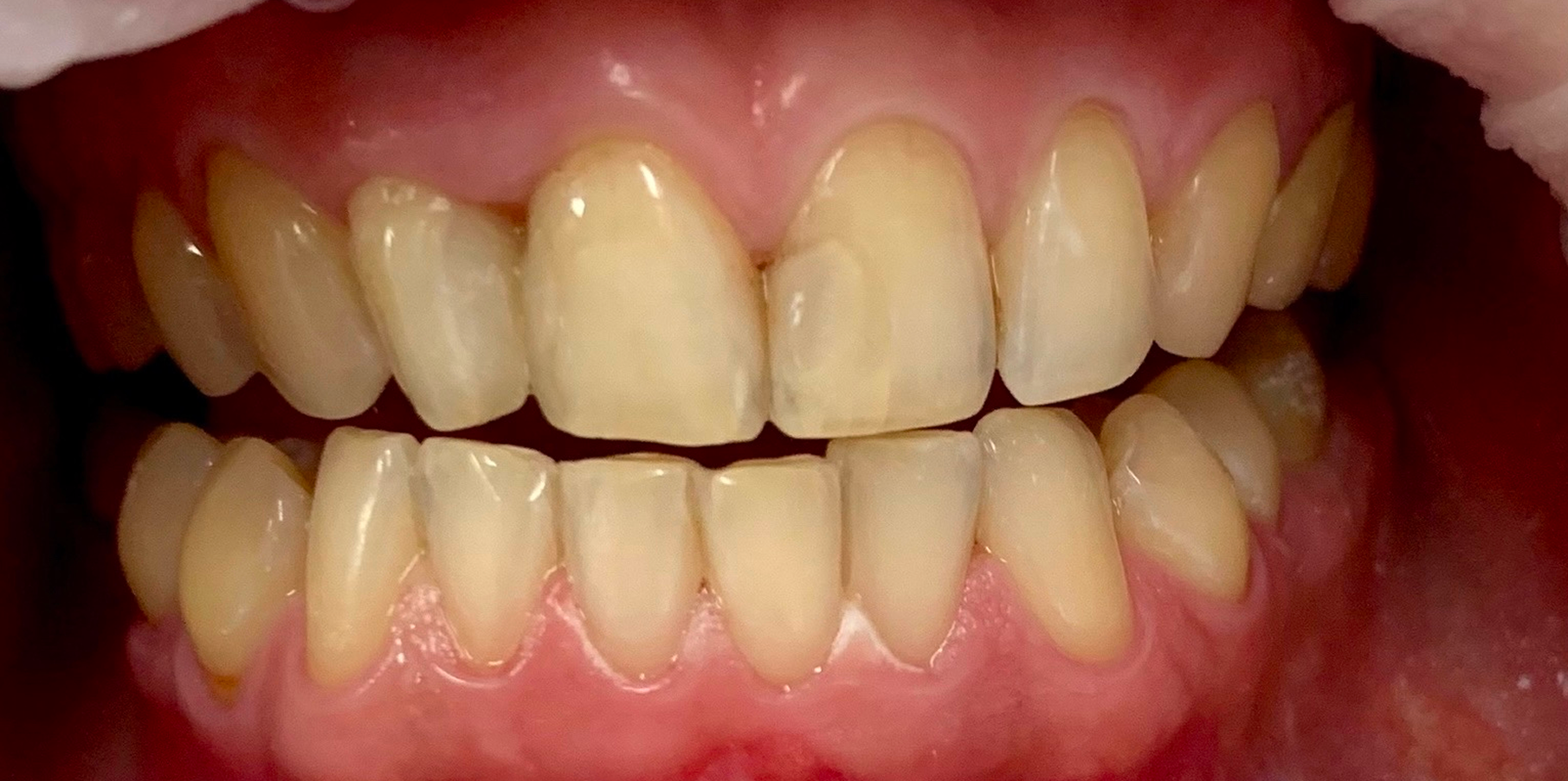
Problem: The patient sought to enhance her smile due to uneven tooth color and unsatisfactory restorations. After Beyond whitening and replacement of restorations, the result was a natural, harmonious smile.

Know more
Anti-stress dentistry
Anti-stress dentistry

Problem: The patient reported pain when chewing and sensitivity to temperature. A deep cavity was treated using a rubber dam and Asteria Estelite A2B material — restoring both the function and natural aesthetics of the tooth.

Know more
Anti-stress dentistry
Anti-stress dentistry

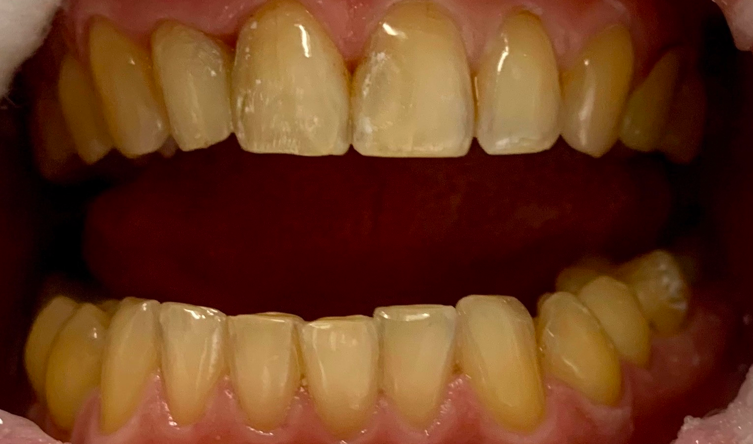
Problem: The patient reported sensitivity and dark spots around previously restored front teeth. Secondary decay was treated, and the teeth were restored with Asteria Estelite A1B, NE, resulting in a natural look and complete relief from discomfort.

Know more
Anti-stress dentistry
Anti-stress dentistry

Problem: The patient experienced pain and heaviness in a tooth, especially when eating. A deep cavity was found and treated using Asteria Estelite A2B and OcE — sensitivity disappeared, and the restoration looks completely natural.

Know more
Anti-stress dentistry
Anti-stress dentistry

Problem: The patient reported pain after eating sweet and hot foods, tooth discoloration, and food getting stuck. Deep decay was treated under rubber dam isolation, and the tooth was restored with Asteria Estelite A1B and OcE, providing a natural look and full functionality.

Know more
Anti-stress dentistry
Anti-stress dentistry

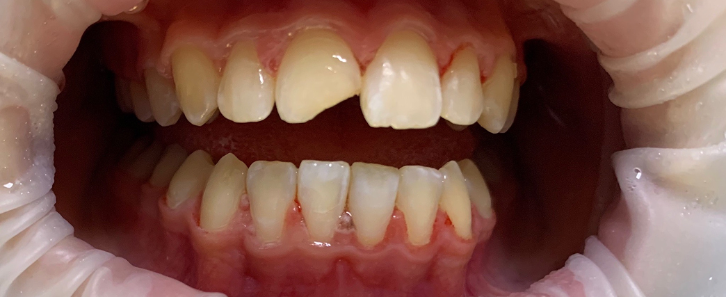
Problem: Following an injury, the patient presented with chipped front teeth and increased sensitivity. Restoration with Asteria Estelite A1B, NE fully restored the shape, function, and natural appearance of the teeth.

Know more

Feedback from our patients

4.8

based on 817 reviews on Google

The Dynasty Stomatology team at Romanowicza 4B were incredibly welcoming from the moment I arrived. The receptionist was a clear and helpful communicator whose English was excellent, and my professional hygiene appointment with Anastasiia was the best I’ve had. She gave clear explanations throughout, anticipated my questions both before and after the procedure, and her genuine care for her patients’ dental health was evident in the guidance she provided. She also managed to make a 1.5-hour appointment completely free of discomfort. Today’s experience (the first of several appointments I’ve scheduled with Dynasty) gives me confidence in the decision to travel here for dental care. Edit from follow-on appointments: No substantive change from my initial review, beyond even more positive thoughts. I should similarly point out how fantastic Michael (apologies for anglicized spelling) was, not only for his expertise in radiography, but his friendly willingness to help communicate with other dental professionals at the clinic (Dynasty serve many nationalities and have many polyglots on staff, but not everyone can speak everything!) when he wasn't busy operating their CT. Most importantly of all, Dr. Rafal Kazanecki – he was not only fantastic in the clinic, but has been wonderful and very dedicated despite my not residing in Krakow, helping direct me in dental affairs remotely during a few-month window I've been unable to travel. Now a few months in, I feel that my initial confidence and positive view of the practice was well-placed, and look forward to being able to continue with Dr. Kazanecki at Dynasty.

25.02.2026
Source: Google Reviews

I'm a client here for more than a year. Here, I removed 3 wisdom teeth, was very affraid, but thanks to Dr. Kostyantyn Danyliuk, all 3 operations went painless, and successful, approached carefully and neatly! Also huge thanks to Dr. Yana Tereschenko and her sweet assistant – who are true professionals fully dedicated to their jobs! Girls on reception are always very welcoming, higly recommend ♡

17.02.2026
Source: Google Reviews

I’ve been a customer of this clinic for quite a while now. Very professional doctors, very good and friendly stuff. The most beneficial point is they open long hours everyday. Speaks: Polish, English and Ukrainian

15.01.2026
Source: Google Reviews

A very pleasant dental clinic. There are many doctors, including narrow specialists such as surgeons, and they have their own CT scanner. The clinic was founded by Ukrainians, so in addition to Polish, Ukrainian and Russian are also spoken, which makes it more comfortable for people of Ukrainian origin. Another plus is its convenient location close to the city center.

17.12.2025
Source: Google Reviews

Catherine

I needed mouth care during pregnancy. The doctor chose a gentle treatment, the procedures were without pain and excitement. Now I know that the baby is safe.

12/06/2025

Galina

I was suffering from frequent night awakenings and shortness of breath. The doctors explained that this was apnea and suggested that I try a personalized mouth guard. After a few weeks I felt like a living person. Thank you for your attentiveness and the result!

12/06/2025

Denis

We did fluoridation of my son’s teeth at Dynasty Stomatology – the effect is excellent. They have become less sensitive and we have peace of mind about their health. Thank you very much to the clinic for their care and professional approach!

10/06/2025

Tamara

I thought that at my age herpes is already the norm, but the doctor explained how to control the disease and live without frequent rashes on the lips. After a course of treatment exacerbations stopped.

10/06/2025

Perfect place and service! First of all I liked your hospitality, all questions were answered quickly and precisely thanks to office-manager Julia. Secondly, treatment was excellent. I did not feel anything during the procedure. Dr. Rostislav checked to ensure that everything was fine and that I was not experiencing any discomfort. Highly recommend

03.10.2025
Source: Google Reviews

Natalia Szymańska

They recommend braces depending on your teeth and ensure the installation is done carefully. I am really impressed. Thanks to everyone here. Highly grateful!

09/07/2025

Sergey

I had a supernumerary tooth, and it was transplanted to the area of missing teeth. It’s been six months — everything is stable, the tooth took well. Care is simple, the main thing is to be cautious in the first weeks and follow recommendations.

05/12/2025

Svetlana

I had 4 implants placed due to complete tooth loss. Every step was fast, accurate, and pain-free. Four months later, I received my prosthetic. Now I can smile and eat my favorite food again.

03/11/2025

Ready for a calm and painless dental visit?

Forget fear and discomfort — start your journey toward a healthy smile with Dynasty Stomatology. We specialize in anti-stress dental treatment using the latest painless dentistry methods and sedation techniques. Experience modern dental care in a safe, friendly, and anxiety-free environment.

Your smile deserves comfort. Let’s make it happen.

Types of anti-stress dental treatment
we offer

Anti-stress dentistry

Dental treatment under mild sedation

If you suffer from dental anxiety during routine visits to the dentist for oral surgery, sedation dentistry is the perfect…
Learn more
Anti-stress dentistry

Dental Treatment under Sedation

Sedation dentistry is beneficial for people with pain sensitivity, individuals with special needs, strong gag reflexes, pain sensitivity, or those…
Learn more

Anti-stress treatment — prices

All prices
  • Custom Items

    • Nitrous oxide sedation (up to 1 hour)
      250 PLN
    • General anesthesia with intubation (first hour)
      1500-2500 PLN
    • Complex intravenous sedation (every next 30 minutes)
      450-750 PLN
    • Complex intravenous sedation (first hour)
      900-1 500 PLN
    • Sedation mask
      100 PLN
    • General anesthesia with intubation (every next 30 minutes)
      750-1250 PLN

You may also be interested in

All services
Anti-stress dentistry

Dental therapy

Cavities, sensitivity, pain — these are issues that should not be postponed. In our dental clinic, we provide modern, painless treatment, during which every patient feels confident. Dentistry in Poland is becoming accessible — choose a careful approach and quality without compromise.

More details
Anti-stress dentistry

Root canal treatment

Pain while chewing or persistent inflammation signals issues with the roots of the teeth. We use a microscope, precise equipment, and modern endodontic techniques. As a result, dental treatment in Poland is quick, high-quality, and requires no repeat visits.

More details
Anti-stress dentistry

Pediatric dentistry

Children often fear doctors — it's natural. But not with us. Treatment is carried out by a dedicated children's dentist. His main goal is to make the visit painless and stress-free. We build trust from the very first appointment, so that dentistry in Poland for Ukrainians is a pleasant experience.

More details
Anti-stress dentistry

Dental surgery and implantation

Tooth loss is not just an aesthetic issue, but also a functional impairment. We offer implantation at our clinic with full support: diagnostics, 3D modelling, and implant placement. We restore your smile as before the loss — dentistry in Poland with attention to detail.

More details
Anti-stress dentistry

Dental prosthetics

Damaged or missing teeth? The problem can be solved with a precisely fitted crown or bridge. In our dentistry in Poland, we perform tooth prosthetics considering bite, aesthetics, and your preferences. Smile confidently again; it’s easy with our services.

More details
Anti-stress dentistry

Orthodontics

An incorrect bite or crowded teeth is not only visually unappealing but also functionally inconvenient. We provide tailored orthodontic solutions for adults and children. The result is a healthy, harmonious smile. Your dentistry in Krakow for Ukrainians is right nearby.

More details
Anti-stress dentistry

X-ray and diagnostics

Inaccurate diagnostics lead to ineffective treatment. We perform CT scans and 3D imaging right in the dental clinic. It’s convenient, quick, and without unnecessary visits. Dentistry nearby is always the right choice.

More details
Anti-stress dentistry

Periodontology

Bleeding gums and bad breath are signs of periodontitis. Our multilingual doctors in Poland carefully restore gum health and prevent tooth loss. Your treatment is supervised by an experienced dentist in Krakow.

More details
Anti-stress dentistry

General anaesthesia

Fear of treatment? Panic attacks or complex procedures? General anaesthesia is a safe option for a comfortable sleep during treatment. You wake up, and it’s all over. This option is available in dentistry in Poland for Ukrainians.

More details

Expert articles on the topic

View all blog
  • 05.09.2025

    615

    10 min. read

    Dental Anesthesia: Types, Side Effects, and Risks

    Dental anesthesia is a key part of making dental treatments comfortable and stress-free. Whether you’re getting a simple filling or a more complex procedure, knowing about the types of anesthesia available — and their possible side effects and risks — can help you feel more confident and relaxed. Being informed about dental anesthesia means you […]

    Read more
  • FAQ — Everything about anti-stress dental
    treatment

    • Who can benefit most from painless dental care?

      Painless dental care Krakow is ideal for anyone with dental phobia, anxiety, heightened sensitivity, or past traumatic experiences. It’s also suitable for children, patients with special needs, and those looking for dental treatment without fear. Our approach to fear-free dentistry helps you enjoy a truly comfortable dentist visit.

    • Is sedation dentistry safe for children and elderly patients?

      Absolutely. At our dental clinic, sedation dentistry Krakow is administered only by certified professionals. We adjust sedation levels individually and monitor each patient using advanced technology. Safety, comfort, and care go hand in hand — for every age.

    • How do dentists monitor patients’ safety during sedation?

      During any sedation dentistry Krakow procedure, we use modern monitors to track your heart rate, oxygen levels, and blood pressure. Our trained staff ensures your well-being at every step, creating a calm and relaxing dentistry experience.

    • What is nitrous oxide inhalation analgesia?

      This safe gas, also known as laughing gas, is commonly used for painless dental cleaning, minor treatments, or comfortable dental procedures. You stay awake but deeply relaxed. It’s fast, gentle, and perfect for dental treatment without fear.

    • Can I drive home after sedation or anesthesia?

      You may drive after nitrous oxide, but not after IV sedation or general anesthesia. For deep sedation, arrange for someone to accompany you. Your safety matters — before, during, and after your painless oral treatment.

    • How often can a patient undergo dental treatment under sedation?

      There’s no strict limit. Light sedation (like nitrous oxide) can be used regularly for painless orthodontics, painless root canal, or painless tooth extraction. Deep sedation is used more selectively. We always assess health status first.

    • What are the possible side effects of sedation dentistry?

      Most patients experience no side effects. Occasionally, you may feel light-headed or have a dry mouth. Thanks to painless dental technology, side effects are rare and minor — and we’re always monitoring your well-being.

    • What are the benefits of anti-stress dental treatment at Dynasty Stomatology?

      • Maximum comfort and a painless experience
      • Fewer visits with deep sedation
      • Faster recovery time
      • Reduced anxiety and emotional relief
      • Trusted modern dentistry approach
      • Personalized care for every concern

    • What does painless dental care really mean?

      It means no pain, no stress, no fear. We combine painless dental technology, innovative dental methods, and gentle communication to provide comfortable dental procedures. Whether it’s painless fillings, painless gum treatment, or painless smile treatment, our goal is to create a soothing, patient-friendly dentistry experience.

    • Do you offer pediatric dental sedation?

      Yes. We provide painless pediatric dentistry with age-appropriate sedation techniques. Our gentle specialists help your child build a positive association with going to the dentist, starting from the very first visit.

    • What is sedation?

      Sedation is a technique in modern dentistry where medications help you stay calm and relaxed during treatment. It ranges from light (awake) to deep (asleep), allowing us to provide painless oral treatment without stress.

    • How long does the effect of nitrous oxide last after treatment?

      Nitrous oxide wears off within 5–10 minutes after stopping inhalation. You can usually resume normal activities, including driving. It’s the go-to for quick, comfortable dentist visits without lingering side effects.

    • How long do the effects of sedation last?

      It depends on the sedation type. Laughing gas fades in minutes. IV or general anesthesia may take hours, so you’ll need rest. We ensure a smooth recovery plan after every comfortable dental procedure.

    • What should I do before and after a sedation dental procedure?

      Before treatment, follow dietary and medication guidelines. Afterward, rest and avoid intense activity. Whether it’s painless dental implants or painless cosmetic dentistry, we provide full instructions to ensure optimal recovery.

    • What is the difference between conscious sedation and general anesthesia?

      Conscious sedation keeps you awake yet relaxed — perfect for short procedures. General anesthesia is used for longer, complex treatments. Both options are part of relaxing dentistry and painless smile treatment.

    • Why do patients choose Dynasty Stomatology?

      Because we don’t just treat teeth — we care for people. From gentle dentists in Krakow to stress-free visits, our patients trust us for safe, personalized, and comfortable dental procedures.

    Still have questions? Let’s talk.

    Our team is here to help you make your next dental visit calm, safe, and absolutely stress-free. Whether you’re afraid of pain or unsure about sedation, we’ll find the right anti-stress treatment for you.

    Call us now!

    More about anti-stress treatment

    Anti-stress dentistry

    Dental Anesthesia: Types, Side Effects, and Risks

    Dental anesthesia is a key part of making dental treatments comfortable and stress-free. Whether you're getting a simple filling or a more complex procedure, knowing about the types of anesthesia available — and their possible side effects and risks — can help you feel more confident and relaxed. Being informed…

    Read the article Check out our prices

    Schedule an Appointment

      Your Information
      Additional
      By clicking the button, you agree to the processing of your personal data in accordance with privacy policy.

      Request a Call

        By clicking the button, you give your agree your personal data in accordance with privacy policy.
        Privacy Overview

        This website uses cookies so that we can provide you with the best user experience possible. Cookie information is stored in your browser and performs functions such as recognising you when you return to our website and helping our team to understand which sections of the website you find most interesting and useful.