Logo
Антистресове лікування

Стоматологія для тих, хто боїться зубних лікарів

У Dynasty Stomatology ми пропонуємо безболісне лікування зубів із дбайливим, орієнтованим на пацієнта підходом. Це сучасна стоматологія преміального класу, створена для тих, хто хоче зрозуміти, як подолати страх у стоматолога і отримати стоматологічну допомогу без болю. Незалежно від того, чи ви мали поганий досвід, чи відчуваєте тривогу перед візитом, ми забезпечуємо комфортну стоматологічну опіку та спокійну атмосферу.

Безболісно. Професійно. Особисто.

Чому обирають Dynasty Stomatology для
антистресового лікування зубів

Антистресове лікування

Стоматологія без стресу

Ми зосереджені на наданні стоматології без стресу для пацієнтів, які бояться візитів до стоматолога. Завдяки ефективній стоматологічній седації, сучасним методам контролю болю та дбайливим технікам кожен спокійний стоматологічний досвід стає можливим. Це особливо важливо для тих, хто шукає методи подолання страху перед стоматологом.

Антистресове лікування

Досвідчена команда та безпечна седація

Наша команда включає дбайливого стоматолога в Празі, сертифікованого анестезіолога та навчений персонал. Вони працюють разом, щоб забезпечити ефективну стоматологічну седацію та контроль стану пацієнта для дійсно безболісної процедури. Усі етапи проходять із ретельним спостереженням за пацієнтом під час лікування, що гарантує безпеку навіть під час таких методів, як лікування зубів під анестезією або медикаментозний сон.

Антистресове лікування

Сучасне обладнання та комфорт під час лікування

Ми використовуємо сучасне обладнання, інноваційні методи та лише високоякісні матеріали для забезпечення безболісних технологій та комфортних процедур. Кожен безболісний візит відбувається у приємному, орієнтованому на пацієнта середовищі.

Що таке антистресове лікування?

Антистресове лікування у Dynasty Stomatology — це сучасний підхід для пацієнтів, які відчувають тривогу або уникають стоматолога через страх, біль чи минулі травми. Цей метод поєднує седацію, турботу та релаксаційні техніки. Ми детально пояснюємо, як проходить консультація перед седацією, щоб пацієнт почувався безпечно.

 

Це правильне рішення для вас, якщо:

 

  • ви уникаєте стоматолога через тривогу, страх або сором за свої зуби;
  • у вас був болісний стоматологічний досвід у минулому;
  • ви панікуєте від звуку стоматологічних інструментів або запаху клініки;
  • вам потрібно виконати багато стоматологічних процедур за 1–2 сеанси;
  • ваша дитина потребує безстресової стоматології і ви хочете м’який, безпечний досвід для дітей.
Антистресове лікування

Не впевнені, чи підходить вам антистресове лікування?

Поговоримо. У Dynasty Stomatology ми допоможемо обрати найкращі варіанти безболісного лікування зубів — від м’якої седації до повного лікування без тривоги. Ми пояснимо всі нюанси, включно з тим, як проходить підготовка до седації. Ваш комфорт, безпека та душевний спокій — наші головні пріоритети.

Зробіть перший крок до стоматології без стресу.

Антистресове лікування

Як працює антистресове лікування зубів
крок за кроком

Крок 01

Крок 02

Крок 03

Крок 04

Крок 01

01

Крок 1 — Початкова консультація стоматолога

Ми починаємо з ретельного огляду, аналізу медичної історії та діагностики. Залежно від ваших потреб і рівня стоматологічної тривожності ми пропонуємо найбільш ефективний і комфортний метод седації. Це перший крок до справді безстресового стоматологічного досвіду.
Крок 02

02

Крок 2 — Підготовка до лікування під наркозом

Ви отримаєте всі інструкції заздалегідь, зокрема що їсти, як підготуватися та чого очікувати. Ми гарантуємо, що ви почуватиметеся в безпеці, поінформовані та готові до безболісного візиту.
Крок 03

03

Крок 3 — Процедура під седацією

Ви отримуєте необхідне стоматологічне лікування в повністю розслабленому стані. Чи то під дією чадного газу, внутрішньовенної седації, чи то загальної анестезії — наша команда гарантує повний психологічний комфорт і підтримку під час усієї процедури.
Крок 04

04

Крок 4 — Догляд після лікування

Після процедури ми контролюємо ваш стан, доки ви повністю не відновитеся. Більшість пацієнтів відчувають мінімальний дискомфорт і швидко повертаються до щоденних справ. Це суть сучасної антистресової стоматології.
Антистресове лікування

Анастасія Данилюк

  • Стоматолог-терапевт
  • ендодонтист

Звертає увагу не лише на ефективність лікування, а й на комфорт пацієнтів. Її головна мета — забезпечити довготривалий результат без потреби у повт…

Антистресове лікування

Юлія Рудзинська

  • Дитячий стоматолог

Допомагає дітям не лише зберігати здорові зуби, а й формувати позитивне ставлення до стоматології, щоб кожен візит проходив без страху та дискомфорту.

Антистресове лікування

Яна Терещенко

  • Стоматолог-терапевт
  • ендодонтист

Дбає не лише про здоров’я зубів пацієнтів, а й про їх естетику та функціональність, допомагаючи зберегти природну красу усмішки на роки.

Антистресове лікування

Борис Мінаков

  • Стоматолог-ортопед

Індивідуальне планування лікування дозволяє не лише усунути наявні проблеми, а й запобігти їх появі в майбутньому. Це дає змогу зберегти здоров’я з…

Антистресове лікування

Дмитро Островський

  • Стоматолог-ортопед

Більше 30 практичних курсів за 9 років практики. Комплексний підхід гарантує стабільний, довговічний та прогнозований результат.

Антистресове лікування

Владислав Каркачов

  • Стоматолог-терапевт
  • ендодонтист
  • стоматолог-ортопед

Основою є ретельно продуманий план лікування та добрий контакт з пацієнтом. Доброзичливе ставлення допомагає створити атмосферу довіри навіть для т…

Антистресове лікування

Тетяна Перерва

  • Стоматолог-ортодонт

За 16 років практики провела понад 5000 ортодонтичних лікувань. Вважає, що ортодонтія — це не лише рівні зуби, а й гармонія обличчя. Активно викори…

Антистресове лікування

Юлія Крижановська

  • Стоматолог-терапевт
  • ендодонтист

Лікар з почуттям гумору, який вміє створити позитивну атмосферу навіть у стоматологічному кріслі.

Антистресове лікування

Костянтин Данилюк

  • Хірург
  • імплантолог

Досвідчений фахівець, який поєднує глибокі знання та сучасні технології для досягнення найкращих результатів. Активно спілкується з пацієнтами, вра…

Антистресове лікування

Олег Вус

  • Стоматолог-терапевт
  • ендодонтист
  • стоматолог-ортопед

Керується принципами професіоналізму, чесності та турботи. Має на меті не лише усунути стоматологічні проблеми, а й відновити функцію, естетику та …

Антистресове лікування

Рафал Казанецький

  • Хірург
  • імплантолог

Слідкує за новітніми досягненнями у галузі, впроваджуючи інноваційні рішення для своїх пацієнтів.

Антистресове лікування

Ростислав Саврук

  • Стоматолог-терапевт
  • ендодонтист
  • стоматолог-ортопед

Мета — не просто вилікувати зуби, а повернути комфорт, впевненість у собі та здорову усмішку, використовуючи сучасні технології та матеріали.

Антистресове лікування

Іван Олефіренко

  • Анестезіолог

Провів понад 1000 анестезій лише за останній рік. Досвідчений спеціаліст з індивідуальним підходом до кожного пацієнта.

Антистресове лікування
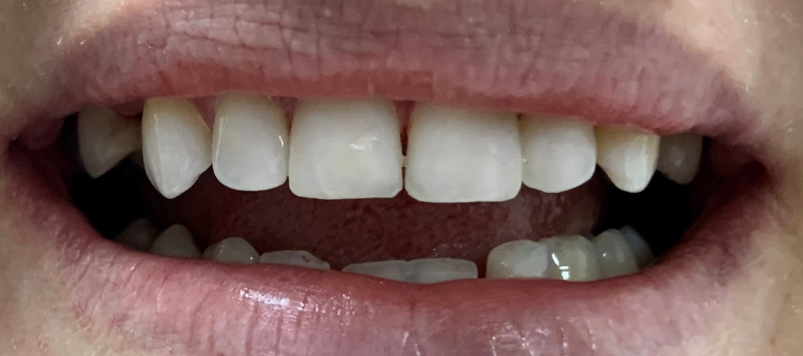
Антистресове лікування

Проблема: На зубі №25 проведено комплексне лікування. Спочатку виконано ендодонтичне лікування для збереження життєздатності зуба, потім виготовлено та встановлено кулькову вкладку, що забезпечує надійне відновлення внутрішньої структури. Заключним етапом стала установка коронки з діоксиду цирконію, що дозволило не лише відновити функціональність, але й надати зубу природний, естетичний вигляд.

Дізнатись більше
Антистресове лікування
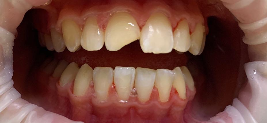
Антистресове лікування

Проблема: Пацієнт звернувся зі скаргами на нічні болі в зубі №35. Після введення анестезії та обробки каріозної порожнини я виявив, що карієс поширюється до пульпової камери. В результаті була проведена ретельна обробка та дезінфекція кореневого каналу, після чого канал пломбували гуттаперчою з подальшим рентген-контролем. Завершальним етапом стало відновлення коронкової частини зуба з використанням фотокомпозиту EsteLite та його подальше полірування, що дозволило досягти ідеального естетичного та функціонального результату.

Дізнатись більше
Антистресове лікування
Антистресове лікування

Проблема: На зубах №6 та №7 виявлено вторинний карієс. Проведена ретельна обробка каріозних порожнин, після чого відновлення виконано з використанням фотокомпозиту EsteLite. Завершальним етапом стало полірування, що забезпечило естетичний зовнішній вигляд і довготривалу функціональність реставрації.

Дізнатись більше
Антистресове лікування
Антистресове лікування

Проблема: На зубі виявлено карієс дистальної стінки та жувальної поверхні. Проведена ретельна обробка каріозної порожнини, після чого виконано відновлення з використанням фотокомпозиту EsteLite. Завершальним етапом стало полірування, що забезпечило природний блиск і гладкість реставрації.

Дізнатись більше
Антистресове лікування
Антистресове лікування

Проблема: При виявленні фісурного карієсу була проведена ретельна обробка каріозної порожнини з видаленням усіх уражених тканин. Для відновлення зуба використано високоякісний фотокомпозит EsteLite, що дозволило точно відтворити природний колір і текстуру емалі. Завершальним етапом стало полірування, завдяки якому реставрація отримала природний блиск і довговічність.

Дізнатись більше
Антистресове лікування
Антистресове лікування

Проблема: Пацієнтка звернулася зі скаргою на дискомфорт і зміну кольору переднього зуба. Після діагностики виявлено прихований карієс, який було вилікувано з використанням естетичного матеріалу Asteria A2B — реставрація виглядає природно та повністю відновлює функцію зуба.

Дізнатись більше
Антистресове лікування
Антистресове лікування

Проблема: Пацієнтка звернулася з бажанням покращити естетику усмішки через неоднорідний колір зубів і неестетичні реставрації. Після відбілювання системою Beyond та заміни реставрацій результат став природним і гармонійним.

Дізнатись більше
Антистресове лікування
Антистресове лікування

Проблема: Пацієнт звернувся зі скаргою на біль при жуванні та чутливість зуба. Після виявлення глибокого карієсу було проведено естетичну реставрацію із застосуванням кофердаму та матеріалу Asteria Estelite A2B — зуб повністю відновлено як функціонально, так і естетично.

Дізнатись більше
Антистресове лікування
Антистресове лікування

Проблема: Пацієнтка скаржилася на чутливість та потемніння реставрацій передніх зубів. Після лікування вторинного карієсу і відновлення матеріалом Asteria Estelite A1B, NE зуби виглядають природно, а чутливість зникла.

Дізнатись більше
Антистресове лікування
Антистресове лікування

Проблема: Пацієнт скаржився на біль і відчуття тяжкості в зубі, що посилювалися під час їжі. Після виявлення глибокого карієсу зуб було відновлено матеріалами Asteria Estelite A2B та OcE — чутливість зникла, а реставрація виглядає природно.

Дізнатись більше
Антистресове лікування
Антистресове лікування

Проблема: Пацієнт скаржився на біль після солодкої та гарячої їжі, зміну кольору зуба та застрявання їжі. Виявлений глибокий карієс був вилікуваний під кофердамом, а відновлення за допомогою Asteria Estelite A1B і OcE повернуло естетику, комфорт і функціональність зуба.

Дізнатись більше
Антистресове лікування
Антистресове лікування

Проблема: Після травми пацієнт звернувся зі сколами передніх зубів та підвищеною чутливістю. Реставрація матеріалом Asteria Estelite A1B, NE повністю відновила форму, функцію та природний вигляд зубів.

Дізнатись більше

Відгуки наших пацієнтів

4.8

на основі 817 відгуків у Google

Дуже вдячна Анастасії Данилюк за швидке та професійне переліковування каналів. Анастасія дуже турботливо ставиться до пацієнта та пояснює всі кроки лікування, створюючи завдяки цьому спокійну та довірливу атмосферу.

03.03.2026
Джерело: Відгуки Google

Щиро дякуємо найкращому дитячому стоматологу Юлії за її уважність, турботу та якісне лікування. З нею наша дитина забула про страх, стрес та сльози і тепер ходить в Dynasty із радістю. We sincerely thank the best pediatric dentist, Yuliia, for her attentiveness, care, and high-quality treatment. With her, our child has forgotten about fear, stress, and tears and now goes to Dynasty with joy.

21.01.2026
Джерело: Відгуки Google

Катерина

Потрібна була санація рота в період вагітності. Лікар підібрав щадне лікування, процедури пройшли без болю і хвилювання. Тепер знаю, що малюкові нічого не загрожує.

12/06/2025

Галина

Мучили часті нічні пробудження та нестача повітря. Лікарі пояснили, що це апное, і запропонували спробувати індивідуальну капу. Через кілька тижнів я відчула себе живою людиною. Дякую за уважність і результат!

12/06/2025

Анна

Онлайн-консультація дуже виручила, поки були в іншому місті! У дитини опухла ясна, не знала, що робити. Лікар заспокоїв, подивився фото і дав чіткі рекомендації. Вже записалися в клініку на огляд.

12/05/2025

Дуже рада, що знайшла цю клініку! Була у лікаря терапевта- Анастасії, раджу усім, нарешті змогла вирішити усі питання з зубами та тепер щаслива посміхаюся на усі 32😁

19.11.2025
Джерело: Відгуки Google

Найкраща стоматологічна клініка у Кракові. Дуже раджу! Лікарі – професіонали, техніка та обладнання – найновітніші. Все з системним підходом та любовʼю! Дякую вам за вас 🫶🏻✨

03.11.2025
Джерело: Відгуки Google

Велике дякую лікарю Владу, який взявся за мій складний випадок і виправив невдалі композити, які наробили мені в Таїланді. 6 нових зубів і я нарешті можу посміхатись без сорому❤️ Дуже рекомендую клініку – супер відношення від дівчаток- адміністраторів до лікарів і медперсоналу

23.10.2025
Джерело: Відгуки Google

Денис

Робили в Dynasty Stomatology фторування зубів синові – ефект чудовий. Вони стали менш чутливими, і ми спокійні за їхнє здоров’я. Велике спасибі клініці за турботу і професійний підхід!

10/06/2025

Тамара

Думала, що в моєму віці герпес – це вже норма, але лікар пояснив, як можна контролювати хворобу і жити без частих висипань на губах. Після курсу лікування загострення припинилися.

10/06/2025

Світлана

Процес догляду за зубами в період носіння брекетів був складним, але завдяки професійній гігієні вдалося зберегти здоров’я і красу посмішки. У Dynasty Stomatology процедуру виконує досвідчений лікар, який до того ж ввічливий і уважний. Рекомендую клініку і буду звертатися до вас ще!

10/05/2025

Ірина

У дитини болів зуб, вночі не спав. Терміново записалися в Dynasty Stomatology, видаляти не стали – вилікували і відновили. Професіоналізм і доброзичливість у цій клініці на висоті!

08/06/2025

Готові до спокійного та безболісного візиту
до стоматолога?

Забудьте про страх і дискомфорт — розпочніть шлях до здорової усмішки з Dynasty Stomatology. Ми спеціалізуємося на антистресовому лікуванні зубів, використовуючи новітні методи безболісної стоматології та седації. Відчуйте сучасну стоматологічну опіку в безпечному, дружньому та безтривожному середовищі.

Ваша усмішка заслуговує на комфорт. Зробімо це реальністю.

Типи антистресового лікування зубів,
які ми пропонуємо

Антистресове лікування

Лікування зубів у поверхневій седації (закис азоту)

Лікування зубів у поверхневій седації – це метод, за якого пацієнту вводять суміш кисню і закису азоту через маску, що…
Дізнатися більше
Антистресове лікування

Лікування зубів уві сні

Уже протягом кількох місяців відкладаєте візит до свого дантиста? Відчуваєте острах і дискомфорт при одній згадці про стоматологічний кабінет? Інноваційна…
Дізнатися більше

Вартість лікування під седацією

Всі ціни
  • Custom Items

    • Седація оксидом азоту (до 1 години)
      250 PLN
    • Комплексна внутрішньовенна седація (перша година)
      900-1 500 PLN
    • Загальна анестезія з інтубацією (перша година)
      1500-2500 PLN
    • Маска для седації
      100 PLN
    • Комплексна внутрішньовенна седація (кожні наступні 30 хвилин)
      450-750 PLN
    • Загальна анестезія з інтубацією (кожні наступні 30 хвилин)
      750-1250 PLN

Вас також можуть зацікавити

Всі послуги
Антистресове лікування

Стоматологічна терапія

Карієс, чутливість, біль — це проблеми, які не варто відкладати.
У нашій стоматологічній клініці ми забезпечуємо сучасне безболісне лікування, під час якого кожен пацієнт почувається впевнено.
Стоматологія в Польщі стає доступною — обирайте уважний підхід і якість без компромісів.

Детальніше
Антистресове лікування

Лікування каналів

Біль під час жування або постійне запалення сигналізують про проблеми з коренями зубів.
Ми застосовуємо мікроскоп, точну апаратуру та сучасні ендодонтичні методики.
Завдяки цьому лікування зубів у Польщі відбувається швидко, якісно й без повторних звернень.

Детальніше
Антистресове лікування

Стоматологія для дітей

Діти часто бояться лікарів — це природно. Але не в нас.
Лікування проводить окремий дитячий стоматолог. Його головна мета — зробити візит безболісним та без стресу.
Ми створюємо довіру з першого прийому, щоб стоматологія в Польщі для українців була приємним досвідом.

Детальніше
Антистресове лікування

Стоматологічна хірургія та імплантація

Втрата зуба — це не лише естетична проблема, а й порушення функції.
Пропонуємо імплантацію в клініці з повним супроводом: діагностика, 3D-моделювання, встановлення імпланта.
Відновлюємо усмішку, як до втрати, — стоматологія в Польщі з турботою про деталі.

Детальніше
Антистресове лікування

Стоматологічне протезування

Пошкоджений або відсутній зуб? Проблема вирішується точно підібраною коронкою чи мостом.
У стоматології в Польщі ми виконуємо протезування зубів з урахуванням прикусу, естетики та ваших побажань.
Знову усміхайтеся впевнено, це легко з нашими послугами.

Детальніше
Антистресове лікування

Ортодонтія

Неправильний прикус або скупченість зубів — це не лише візуально, а й функціонально незручно.
Ми підбираємо індивідуальні ортодонтичні рішення для дорослих і дітей.
Результат — здорова, гармонійна усмішка. Ваша стоматологія в Кракові для українців зовсім поруч.

Детальніше
Антистресове лікування

Рентген та діагностика

Неточна діагностика — причина неефективного лікування.
Ми робимо КТ та 3D-сканування прямо в стоматологічній клініці.
Це зручно, швидко й без зайвих візитів. Стоматологія поблизу — це завжди правильне рішення.

Детальніше
Антистресове лікування

Пародонтологія

Кровоточивість ясен, неприємний запах з рота — ознаки пародонтиту.
Наші багатомовні лікарі в Польщі дбайливо відновлюють здоров’я ясен та запобігають втраті зубів.
Ваше лікування відбувається під контролем досвідченого стоматолога в Кракові.

Детальніше
Антистресове лікування

Загальний наркоз

Страх перед лікуванням? Панічні атаки чи складне втручання?
Загальний наркоз — це безпечна опція для комфортного сну під час лікування.
Прокидаєтеся — і все вже позаду. Такий варіант доступний у стоматології в Польщі для українців.

Детальніше

Експертні статті на тему

Переглянути весь блог
  • 05.09.2025

    901

    9 хв. читання

    Стоматологічна анестезія: види, побічні ефекти та ризики

    Стоматологічна анестезія є ключовою частиною того, щоб лікування зубів було комфортним і без стресу. Незалежно від того, чи виконується вам проста пломба, чи більш складна процедура, знання про доступні типи анестезії та їхні можливі побічні ефекти та ризики допоможе вам почуватися впевненіше та спокійніше. Отримання інформації про стоматологічну анестезію означає, що ви можете краще зрозуміти, […]

    Читати далі
  • FAQ — Усе про антистресове
    стоматологічне лікування

    • Хто може найбільше виграти від безболісної стоматологічної опіки?

      Безболісна стоматологія для дітей та дорослих у Кракові ідеальна для тих, хто має стоматофобію, тривожність, підвищену чутливість або травматичний досвід. Вона також підходить для дітей, пацієнтів із особливими потребами, а також для тих, кому потрібне лікування зубів у дітей уві сні або лікування уві сні для дорослих. Наш підхід до стоматології без страху допомагає насолоджуватися зручним візитом, де працює професійний стоматолог із турботою про психологічний комфорт пацієнта.

    • Чи безпечна седаційна стоматологія для дітей та літніх пацієнтів?

      Абсолютно. Седацію проводять лише сертифіковані фахівці, контролюючи стан пацієнта. Це особливо важливо під час лікування під закисом азоту або лікування під наркозом.

    • Як стоматологи контролюють безпеку пацієнтів під час седації?

      Під час будь-якої процедури седаційної стоматології у Кракові ми використовуємо сучасні монітори для контролю частоти серцебиття, рівня кисню та артеріального тиску. Наш навчений персонал забезпечує ваш добробут на кожному етапі, створюючи спокійний та розслаблюючий досвід стоматології.

    • Що таке інгаляційна седація за допомогою оксиду азоту?

      Цей безпечний газ, відомий як «чадний газ», зазвичай використовується для безболісного чищення зубів, дрібних процедур або комфортних стоматологічних процедур. Ви залишаєтесь при свідомості, але глибоко розслаблені. Це швидкий, м’який та ідеальний варіант для лікування зубів без страху.

    • Чи можна їхати додому після седації або анестезії?

      Можна їхати після чадного газу, але не після внутрішньовенної седації або загальної анестезії. Для глибокої седації обов’язково забезпечте супровід. Безпека пацієнта важлива до, під час і після безболісного лікування зубів.

    • Як часто пацієнт може проходити лікування зубів під седацією?

      Жорстких обмежень немає. Легка седація (наприклад,чадний газ) може використовуватися регулярно для безболісної ортодонтії, безболісного лікування каналів або екстракції зубів. Глибока седація застосовується вибірково. Ми завжди оцінюємо стан здоров’я пацієнта перед процедурою.

    • Які можливі побічні ефекти седаційної стоматології?

      Більшість пацієнтів не відчувають побічних ефектів. Іноді може виникнути легка запамороченість або сухість у роті. Завдяки безболісним технологіям стоматології побічні ефекти рідкісні та мінімальні — ми завжди контролюємо ваш стан.

    • Які переваги антистресового лікування зубів 
у Dynasty Stomatology?

      • Максимальний комфорт та безпека лікування.
      • Менше візитів завдяки глибокій седації.
      • Швидше відновлення.
      • Зменшення тривожності та емоційне полегшення.
      • Довіра до сучасного стоматологічного підходу.
      • Персоналізована опіка для кожної потреби.

    • Що насправді означає безболісна стоматологія?

      Це означає — без болю, без стресу, без страху. Ми поєднуємо безболісні стоматологічні технології, інноваційні методи та дбайливу комунікацію, щоб забезпечити комфортні процедури та індивідуальний підхід. Це повністю відповідає тому, що шукають пацієнти у преміумклініках.

    • Чи пропонуєте ви седацію для дітей?

      Так. Ми пропонуємо комфортне лікування під закисом азоту та інші методи, щоб дитина відчувала релаксацію у стоматолога та не формувала страх перед стоматологом у майбутньому.

    • Що таке седація?

      Седація — сучасний метод, який допомагає забезпечити спокійне лікування та стоматологію без болю. Вона може бути легкою (бадьорий) або глибокою (сплячий), що дає змогу проводити безболісне та безпечне лікування без стресу.

    • Як довго триває ефект оксиду азоту після процедури?

      Закис азоту вивітрюється протягом 5–10 хвилин після припинення інгаляції. Зазвичай можна відновити звичайну діяльність, включно з керуванням автомобілем. Це ідеальний варіант для швидких і комфортних візитів до стоматолога без тривалих побічних ефектів.

    • Як довго триває ефект седації?

      Це залежить від типу седації. Чадний газ діє кілька хвилин. Внутрішньовенна або загальна анестезія може тривати кілька годин, тому потрібен відпочинок. Ми забезпечуємо плавний план відновлення після лікування.

    • Що слід робити до та після процедури седації?

      До процедури дотримуйтеся рекомендацій щодо їжі та ліків. Після — відпочивайте та уникайте інтенсивних навантажень. Незалежно від того, чи це безболісні імплантати або косметична стоматологія, ми надаємо повні інструкції для оптимального відновлення.

    • Яка різниця між свідомою седацією та загальною анестезією?

      Свідома седація зберігає вас бадьорим і розслабленим — ідеально для коротких процедур. Загальна анестезія використовується для довгих та складних процедур. Обидва методи забезпечують лікування зубів уві сні.

    • Чому пацієнти обирають Dynasty Stomatology?

      Бо ми лікуємо не лише зуби — ми дбаємо про людей. Індивідуальний підхід, професійний стоматолог, повна релаксація у стоматолога та психологічний комфорт формують новий стандарт — стоматологія без болю.

    Ще маєте запитання? Поговоримо?

    Наша команда допоможе зробити ваш наступний візит до стоматолога спокійним, безпечним і абсолютно без стресу. Незалежно від того, чи боїтеся ви болю, чи сумніваєтесь щодо седації — лікар-анестезіолог підбере для вас правильне антистресове лікування.

    Зателефонуйте нам зараз!

    Детальніше про антистресове лікування

    Антистресове лікування

    Стоматологічна анестезія: види, побічні ефекти та ризики

    Стоматологічна анестезія є ключовою частиною того, щоб лікування зубів було комфортним і без стресу. Незалежно від того, чи виконується вам проста пломба, чи більш складна процедура, знання про доступні типи анестезії та їхні можливі побічні ефекти та ризики допоможе вам почуватися впевненіше та спокійніше. Отримання інформації про стоматологічну анестезію означає,…

    Читати статтю Дивіться наші ціни

    Записатися

      Ваша інформація
      Додатково
      Натискаючи кнопку, ви погоджуєтеся на обробку ваших персональних даних відповідно до політики конфіденційності.

      Замовте дзвінок

        Натискаючи кнопку, ви надаєте свою згоду з вашими персональними даними відповідно до політики конфіденційності.
        Privacy Overview

        This website uses cookies so that we can provide you with the best user experience possible. Cookie information is stored in your browser and performs functions such as recognising you when you return to our website and helping our team to understand which sections of the website you find most interesting and useful.