Logo
Антистрессовое лечение

Антистрессовое лечение — стоматология для тех, кто боится зубных врачей

В Dynasty Stomatology мы предлагаем безболезненное лечение зубов с заботливым, ориентированным на пациента подходом. Это современная стоматология премиум-класса, созданная для тех, кто хочет понять, как преодолеть страх перед стоматологом и получить стоматологическую помощь без боли.

Безболезненно. Профессионально. Лично.

Почему выбирают Dynasty Stomatology для
антистрессового лечения зубов

Антистрессовое лечение

Стоматология без стресса

Мы сосредоточены на предоставлении стоматологии без стресса для пациентов, которые боятся визитов к стоматологу. Благодаря эффективной стоматологической седации, современным методам контроля боли и заботливым техникам каждый спокойный стоматологический опыт становится возможным. Это особенно важно для тех, кто ищет методы преодоления страха перед стоматологом.

Антистрессовое лечение

Опытная команда и безопасная седация

Наша команда включает заботливого стоматолога в Кракове, сертифицированного анестезиолога и обученный персонал. Они работают вместе, чтобы обеспечить эффективную стоматологическую седацию и контроль состояния пациента для действительно безболезненной процедуры. Все этапы проходят с тщательным наблюдением за пациентом во время лечения, что гарантирует безопасность даже при таких методах, как лечение зубов под анестезией или медикаментозный сон.

Антистрессовое лечение

Современное оборудование и комфорт во время лечения

Мы используем современное оборудование, инновационные методы и только высококачественные материалы для обеспечения безболезненных технологий и комфортных процедур. Каждый безболезненный визит проходит в приятной, ориентированной на пациента обстановке.

Что такое антистрессовое лечение?

Антистрессовое лечение в Dynasty Stomatology — это современный подход для пациентов, которые испытывают тревогу или избегают стоматолога из-за страха, боли или прошлых травм. Этот метод сочетает седацию, заботу и релаксационные техники. Мы подробно объясняем, как проходит консультация перед седацией, чтобы пациент чувствовал себя в безопасности.

 

Это правильное решение для вас, если:

 

  • вы избегаете стоматолога из-за тревоги, страха или стыда за свои зубы;
  • у вас был болезненный стоматологический опыт в прошлом;
  • вы паникуете от звука стоматологических инструментов или запаха клиники;
  • вам нужно выполнить много стоматологических процедур за 1–2 визита;
  • вашему ребёнку нужна безстрессовая стоматология и вы хотите мягкий, безопасный опыт для детей.
Антистрессовое лечение

Не уверены, подходит ли вам антистрессовое лечение?

Поговорим. В Dynasty Stomatology мы поможем выбрать лучшие варианты безболезненного лечения зубов — от мягкой седации до полного лечения без тревоги. Мы объясним все нюансы, включая то, как проходит подготовка к седации. Ваш комфорт, безопасность и душевное спокойствие — наши главные приоритеты. 

Сделайте первый шаг к стоматологии без стресса.

Антистрессовое лечение

Как работает антистрессовое лечение зубов шаг за шагом

Шаг 01

Шаг 02

Шаг 03

Шаг 04

Шаг 01

01

Шаг 1 — Первичная консультация стоматолога

Мы начинаем с тщательного осмотра, анализа медицинской истории и диагностики. В зависимости от ваших потребностей и уровня стоматологической тревоги мы предлагаем наиболее эффективный и комфортный метод седации. Это первый шаг к действительно безстрессовому стоматологическому опыту.
Шаг 02

02

Шаг 2 — Подготовка к лечению под наркозом

Вы получите все инструкции заранее, включая то, что можно есть, как подготовиться и чего ожидать. Мы гарантируем, что вы будете чувствовать себя в безопасности, информированными и готовыми к безболезненному визиту.
Шаг 03

03

Шаг 3 — Процедура под седацией

Вы получаете необходимое стоматологическое лечение в полностью расслабленном состоянии. Будь то под воздействием веселящего газа, внутривенной седации или общей анестезии, наша команда обеспечивает полный психологический комфорт и поддержку на протяжении всей процедуры.
Шаг 04

04

Шаг 4 — Уход после лечения

После процедуры мы контролируем ваше состояние, пока вы полностью не восстановитесь. Большинство пациентов ощущают минимальный дискомфорт и быстро возвращаются к повседневным делам. Это суть современной антистрессовой стоматологии.
Антистрессовое лечение

Островский Дмитрий

  • Стоматолог-ортопед

Более 30 практических курсов за 9 лет практики. Комплексный подход гарантирует стабильный, долговечный и прогнозируемый результат.

Антистрессовое лечение

Владислав Каркачов

  • Стоматолог-терапевт
  • эндодонтист
  • стоматолог-ортопед

Основой является тщательно продуманный план лечения и хороший контакт с пациентом. Доброжелательное отношение помогает создать атмосферу доверия, д…

Антистрессовое лечение

Борис Минаков

  • Стоматолог-ортопед

Подход ориентирован на индивидуальное планирование лечения, которое не только устраняет существующие проблемы, но и предотвращает их возникновение …

Антистрессовое лечение

Иван Олефиренко

  • Анестезиолог

Выполнено более 1000 анестезий только за последний год. Опытный специалист, который сочетает профессионализм с индивидуальным подходом к каждому па…

Антистрессовое лечение

Анастасия Данилюк

  • Стоматолог-терапевт
  • эндодонтист

Акцентирует внимание не только на эффективности лечения, но и на комфорте пациентов. Ваша главная цель — обеспечить долгосрочные результаты л…

Антистрессовое лечение

Константин Данилюк

  • Хирург
  • имплантолог

Опытный специалист, который сочетает глубокие знания и современные технологии для достижения наилучших результатов. Он активно поддерживает связь с…

Антистрессовое лечение

Олег Вус

  • Стоматолог-терапевт
  • эндодонтист
  • стоматолог-ортопед

Руководствуется принципами профессионализма, честности и заботы о пациентах. Стремится не только устранить стоматологические проблемы, но и восстан…

Антистрессовое лечение

Рафал Казанецкий

  • Хирург
  • имплантолог

Активно следит за новыми достижениями в своей области, внедряя инновационные решения для своих пациентов.

Антистрессовое лечение

Ростислав Саврук

  • Стоматолог-терапевт
  • эндодонтист
  • стоматолог-ортопед

Цель — не просто вылечить зубы, а вернуть пациентам комфорт, уверенность в себе и здоровую улыбку, обеспечивая безболезненное, эффективное и долгов…

Антистрессовое лечение

Татьяна Перерва

  • Стоматолог-ортодонт

За свою практику Тетяна провела более 5000 ортодонтических лечений — это более 16 лет непрерывной трансформации улыбок. Она считает, что ортодонтия…

Антистрессовое лечение

Юлия Крыжановская

  • Стоматолог-терапевт
  • эндодонтист

Доктор с чувством юмора, который умеет создать позитивную атмосферу даже в стоматологическом кресле.

Антистрессовое лечение

Юлия Рудзинская

  • Детский стоматолог

Помогает детям не только сохранять здоровые зубы, но и формировать позитивное отношение к стоматологии, чтобы каждый визит проходил без страха и ди…

Антистрессовое лечение

Яна Терещенко

  • Стоматолог-терапевт
  • эндодонтист

Заботится не только о здоровье зубов своих пациентов, но и о их эстетике и функциональности, помогая сохранить естественную красоту улыбки на долги…

Антистрессовое лечение
Антистрессовое лечение

Проблема: На зубе №25 проведено комплексное лечение. Сначала выполнено эндодонтическое лечение для сохранения жизнеспособности зуба, затем изготовлена и установлена кульковая вкладка, которая обеспечивает надёжное восстановление внутренней структуры. Заключительным этапом стала установка коронки из диоксида циркония, что позволило не только восстановить функциональность, но и придать зубу естественный, эстетичный вид.

Узнать больше
Антистрессовое лечение
Антистрессовое лечение

Проблема: Пациент обратился с жалобами на ночные боли в зубе №35. После введения анестезии и обработки кариозной полости я обнаружил, что кариес распространяется до пульповой камеры. В результате была проведена тщательная обработка и дезинфекция корневого канала, после чего канал пломбировали гуттаперчей с последующим рентген-контролем. Завершающим этапом стало восстановление коронковой части зуба с использованием фотокомпозита EsteLite и его последующее полирование, что позволило добиться идеального эстетического и функционального результата.

Узнать больше
Антистрессовое лечение
Антистрессовое лечение

Проблема: На зубах №6 и №7 выявлен вторичный кариес. Проведена тщательная обработка кариозных полостей, после чего восстановление выполнено с использованием фотокомпозита EsteLite. Завершающим этапом стало полирование, что обеспечило эстетичный внешний вид и долговременную функциональность реставрации.

Узнать больше
Антистрессовое лечение
Антистрессовое лечение

Проблема: На зубе выявлен кариес дистальной стенки и жевательной поверхности. Проведена тщательная обработка кариозной полости, затем выполнено восстановление с использованием фотокомпозита EsteLite. Завершающим этапом стало полирование, что обеспечило естественный блеск и гладкость реставрации.

Узнать больше
Антистрессовое лечение
Антистрессовое лечение

Проблема: При обнаружении фиссурного кариеса была проведена тщательная обработка кариозной полости с удалением всех поражённых тканей. Для восстановления зуба использован высококачественный фотокомпозит EsteLite, что позволило точно воспроизвести естественный цвет и текстуру эмали. Завершающим этапом стало полирование, благодаря которому реставрация получила естественный блеск и долговечность.

Узнать больше
Антистрессовое лечение
Антистрессовое лечение

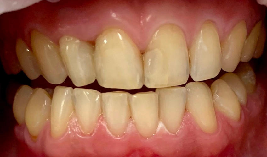
Проблема: Пациентка обратилась с жалобой на незначительный дискомфорт и изменение цвета переднего зуба. После диагностики был выявлен скрытый кариес, который успешно устранён с помощью эстетичного материала Asteria A2B — реставрация получилась незаметной и полностью восстановила натуральный вид и функцию зуба.

Узнать больше
Антистрессовое лечение
Антистрессовое лечение

Проблема: Пациентка обратилась с целью улучшить эстетику улыбки: её беспокоили неравномерный цвет зубов и неэстетичные реставрации. После клинического отбеливания системой Beyond и замены реставраций улыбка стала гармоничной, а результат — натуральным и выразительным.

Узнать больше
Антистрессовое лечение
Антистрессовое лечение

Проблема: Пациент обратился с болью при жевании и чувствительностью зуба. После диагностики был выявлен глубокий кариес и выполнена эстетическая реставрация с использованием коффердама и материала Asteria Estelite A2B — зуб восстановлен как по функции, так и по внешнему виду.

Узнать больше
Антистрессовое лечение
Антистрессовое лечение

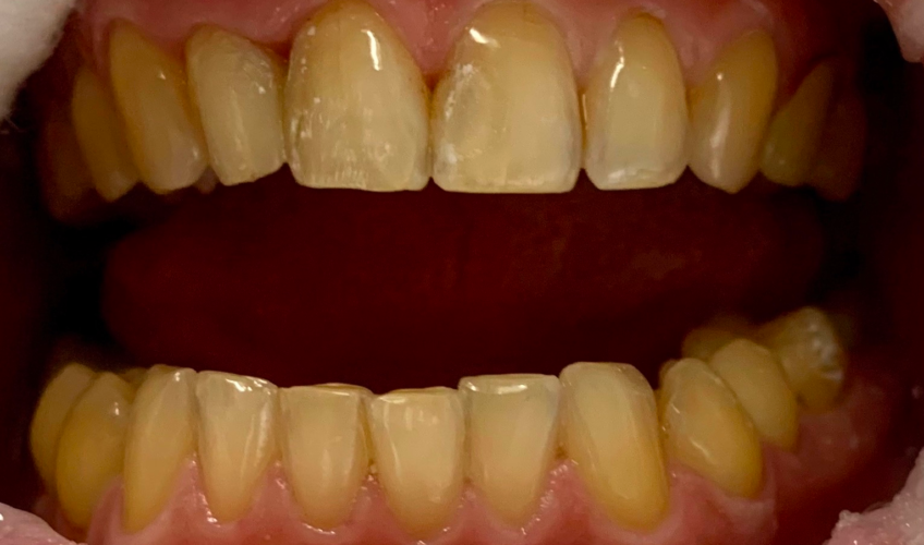
Проблема: Пациентка обратилась с жалобами на чувствительность и потемнение реставраций передних зубов. Был выявлен вторичный кариес, после лечения и восстановления материалом Asteria Estelite A1B, NE зубы обрели натуральный вид, а дискомфорт полностью исчез.

Узнать больше
Антистрессовое лечение
Антистрессовое лечение

Проблема: Пациент обратился с болью и ощущением тяжести в зубе, усиливающимися при еде. После диагностики был выявлен глубокий кариес, и зуб восстановили с помощью Asteria Estelite A2B и OcE — чувствительность исчезла, а реставрация получилась незаметной и естественной.

Узнать больше
Антистрессовое лечение
Антистрессовое лечение

Проблема: Пациент жаловался на боль после сладкой и горячей пищи, а также изменение цвета зуба и застревание еды. Обнаруженный глубокий кариес был устранён под коффердамом, а восстановление с использованием Asteria Estelite A1B и OcE обеспечило естественный вид, комфорт и сохранение функции зуба.

Узнать больше
Антистрессовое лечение
Антистрессовое лечение

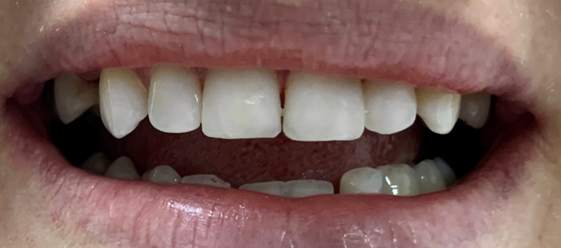
Проблема: После травмы пациент обратился с серьёзными сколами передних зубов и повышенной чувствительностью. Эстетическая реставрация материалом Asteria Estelite A1B, NE позволила полностью восстановить форму, функцию и естественный вид зубов.

Узнать больше

Отзывы наших пациентов

4.8

на основе 817 отзывов в Google

Благодарим вас от всего сердца за такую прекрасную клинику и персонал! Особенно за детского врача Юлию Рудзинскую. Нашла подход к ребенку, вылечила проблемные зубы, которые в предыдущей клинике хотели удалять. И все это без наркоза 🙌 Ребенок ходит в стоматологию с удовольствием ❤️

16.02.2026
Источник: Отзывы Google

Были перавый раз с дочкой на приеме у детского врача Рудзинской Юлии. Все очень понравилось, врач очень доброжилательная, внимательная, сразу нашла подход к ребенку. Все объясняла не только мне, но и дочке, чтобы она не боялась. После приема дала конкретные рекомондации, составила план лечения. Мы в восторге от современного оборудования клиники, от высокого профессионализма врача. Дочь в восторге от безболезненного лечения, просмотра мультфильма и конечно же от подарков. Будем обращаться снова и рекомендовать знакомым. Спасибо большое!

14.02.2026
Источник: Отзывы Google

Рада,что попала в такие надёжные руки к Яне Терещенко и ассистенту Оксане. Профессионалы своего дела, качественно и с душой выполняю свою работу! Благодарю девушку на рецепции за вежливость и внимательность. Следующее лечение только к Вам! Спасибо

07.02.2026
Источник: Отзывы Google

Ходил в эту стоматологию несколько раз — и на удаление зубов, и на лечение. Каждый раз всё проходило спокойно и без лишнего стресса. Врачи аккуратные, объясняют, что делают, отвечают на вопросы. После процедур не было никаких проблем, всё зажило хорошо. Клиника чистая, персонал вежливый.

09.12.2025
Источник: Отзывы Google

Галина

Мучили частые ночные пробуждения и нехватка воздуха. Врачи объяснили, что это апноэ, и предложили попробовать индивидуальную каппу. Через несколько недель я почувствовала себя живым человеком. Спасибо за внимательность и результат!

12/06/2025

Екатерина

Нужна была санация рта в период беременности. Врач подобрал щадящее лечение, процедуры прошли без боли и волнения. Теперь знаю, что малышу ничего не угрожает.

12/06/2025

Побывав у разных специалистов в разных странах, я очень рад, что нашёл эту клинику. Всё на наивысшем уровне. Отдельная благодарность доктору Анастасии, на одном из приёмов я почти уснул в кресле 😁 можно закрыть глаза и довериться, каждая процедура прошла безболезненно. Всем советую и сам буду только эту клинику посещать.

31.10.2025
Источник: Отзывы Google

Денис

Делали в Dynasty Stomatology фторирование зубов сыну — эффект отличный. Они стали менее чувствительными, и мы спокойны за их здоровье. Большое спасибо клинике за заботу и профессиональный подход!

10/06/2025

Тамара

Думала, что в моем возрасте герпес — это уже норма, но врач объяснил, как можно контролировать болезнь и жить без частых высыпаний на губах. После курса лечения обострения прекратились. 

10/06/2025

Светлана

Процесс ухода за зубами в период ношения брекетов был сложным, но благодаря профессиональной гигиене удалось сохранить здоровье и красоту улыбки. Dynasty Stomatology процедуру выполняет опытный врач, который к тому же вежливый и внимательный. Рекомендую клинику и буду обращаться к вам еще!

10/05/2025

Ирина

У ребенка болел зуб, ночью не спал. Срочно записались в Dynasty Stomatology, удалять не стали — вылечили и восстановили. Профессионализм и доброжелательность в этой клинике на высоте!

08/06/2025

Олег

У сына был кариес на нескольких молочных зубах. Лечили с седацией — никаких стрессов, ребенок даже не испугался, а проснулся, когда зубки уже были здоровы. Очень довольны подходом и результатом! Dynasty Stomatology – лучшая клиника для детей.

06/05/2025

Готовы к спокойному и безболезненному визиту
к стоматологу?

Забудьте о страхе и дискомфорте — начните путь к здоровой улыбке с Dynasty Stomatology. Мы специализируемся
на антистрессовом лечении зубов, используя новейшие методы безболезненной стоматологии и седации.
Испытайте современную стоматологическую опеку в безопасной, дружелюбной и спокойной атмосфере. 

Ваша улыбка заслуживает комфорта. Давайте сделаем это реальностью.

Типы антистрессового лечения зубов,
которые мы предлагаем

Антистрессовое лечение

Лечение зубов в поверхностной седации (закись азота)

Лечение зубов в поверхностной седации — это метод, при котором пациенту вводится смесь кислорода и закиси азота через маску, что…
Узнать больше
Антистрессовое лечение

Лечение зубов во сне

Уже в течение несколько месяцев откладываете визит к своему дантисту? Инновационная клиника Dynasty Stomatology – то самое место, где вы…
Узнать больше

Стоимость лечения под седацией

Все цены
  • Custom Items

    • Седация оксидом азота (до 1 часа)
      250 PLN
    • Общая анестезия с интубацией (первый час)
      1500-2500 PLN
    • Комплексная внутривенная седация (каждые следующие 30 минут)
      450-750 PLN
    • Комплексная внутривенная седация (первый час)
      900-1 500 PLN
    • Маска для седации
      100 PLN
    • Общая анестезия с интубацией (каждые следующие 30 минут)
      750-1250 PLN

Вас также могут заинтересовать

Все услуги
Антистрессовое лечение

Стоматологическая
 терапия

Кариес, чувствительность, боль — это проблемы, которые не стоит откладывать. В нашей стоматологической клинике мы обеспечиваем современное безболезненное лечение, во время которого каждый пациент чувствует себя уверенно. Стоматология в Польше становится доступной — выбирайте внимательный подход и качество без компромиссов

Подробнее
Антистрессовое лечение

Лечение каналов

Боль при жевании или постоянное воспаление сигнализируют о проблемах с корнями зубов. Мы применяем микроскоп, точное оборудование и современные эндодонтические методики. Благодаря этому лечение зубов в Польше проходит быстро, качественно и без повторных обращений.

Подробнее
Антистрессовое лечение

Стоматология для 
детей

Дети часто боятся врачей — это естественно. Но не у нас. Лечение проводит отдельный детский стоматолог. Его главная цель — сделать визит безболезненным и без стресса. Мы создаем доверие с первого приёма, чтобы стоматология в Польше для украинцев была приятным опытом.

Подробнее
Антистрессовое лечение

Стоматологическая хирургия и имплантация

Потеря зуба — это не только эстетическая проблема, но и нарушение функции. Предлагаем имплантацию в клинике с полным сопровождением: диагностика, 3D-моделирование, установка импланта. Восстанавливаем улыбку, как до потери, —стоматология в Польше с заботой о деталях.

Подробнее
Антистрессовое лечение

Стоматологическое протезирование

Поврежденные или отсутствующие зубы? Проблема решается точно подобранной коронкой или мостом. В стоматологии в Польше мы выполняем протезирование зубов с учётом прикуса, эстетики и ваших пожеланий. Снова улыбайтесь уверенно, это легко с нашими услугами.

Подробнее
Антистрессовое лечение

Ортодонтия

Неправильный прикус или скученность зубов — это не только визуально, но и функционально неудобно. Мы подбираем индивидуальные ортодонтические решения для взрослых и детей. Результат — здоровая, гармоничная улыбка. Ваша стоматология в Кракове для украинцев совсем рядом.

Подробнее
Антистрессовое лечение

Рентген и диагностика

Неточная диагностика — причина неэффективного лечения. Мы проводим КТ и 3D-сканирование прямо в стоматологической клинике. Это удобно, быстро и без лишних визитов. Стоматология рядом — это всегда правильное решение.

Подробнее
Антистрессовое лечение

Пародонтология

Кровоточивость десен, неприятный запах изо рта — признаки пародонтита. Наши многоязычные врачи в Польше заботливо восстанавливают здоровье десен и предотвращают потерю зубов. Ваше лечение проходит под контролем опытного стоматолога в Кракове.

Подробнее
Антистрессовое лечение

Общий наркоз

Страх перед лечением? Панические атаки или сложное вмешательство? Общий наркоз — это безопасный вариант для комфортного сна во время лечения. Просыпаетесь — и всё уже позади. Такой вариант доступен в стоматологии в Польше для украинцев.

Подробнее

Экспертные статьи по теме

Просмотреть весь блог
  • 05.09.2025

    398

    9 мин. чтения

    Стоматологическая анестезия: виды, побочные эффекты и риски

    Анестезия в стоматологии — ключ к комфортному и беззаботному лечению. Независимо от того, собираетесь ли вы наложить пломбу или провести более сложную процедуру, знание доступных видов анестезии, а также их возможных побочных эффектов и рисков поможет вам чувствовать себя увереннее и спокойнее. Знание о стоматологической анестезии позволит вам лучше понять, что произойдет во время вашего […]

    Читать далее
  • FAQ — Всё об антистрессовом
    стоматологическом лечении

    • Кто может больше всего выиграть от безболезненной стоматологической опеки?

      Безболезненная стоматология для детей и взрослых в Кракове идеально подходит для тех, кто имеет стоматофобию, тревожность, повышенную чувствительность или травматичный опыт. Она подходит для детей, пациентов с особыми потребностями, а также тех, кому требуется лечение зубов во сне детям или лечение во сне для взрослых. Наш подход к стоматологии без страха помогает наслаждаться комфортным визитом, где работает профессиональный стоматолог с заботой о психологическом комфорте пациента.

    • Безопасна ли седационная стоматология для детей и пожилых пациентов?

      Абсолютно. Седацию проводят только сертифицированные специалисты, контролируя состояние пациента. Это особенно важно во время лечения под закисью азота или лечения под наркозом.

    • Как стоматологи контролируют безопасность пациентов во время седации?

      Во время любой процедуры седационной стоматологии в Кракове мы используем современные мониторы для контроля частоты сердечных сокращений, уровня кислорода и артериального давления. Наш обученный персонал обеспечивает ваше благополучие на каждом этапе, создавая спокойный и расслабляющий стоматологический опыт. Это позволяет поддерживать высокую эффективность лечения.

    • Что такое ингаляционная седация с использованием оксида азота?

      Этот безопасный газ, известный как «веселящий газ», обычно используется для безболезненной чистки зубов, небольших процедур или комфортных стоматологических вмешательств. Вы остаётесь в сознании, но глубоко расслаблены. Это быстрый, мягкий и идеальный вариант для лечения зубов без страха.

    • Можно ли ехать домой после седации или анестезии?

      Можно ехать после веселящего газа, но не после внутривенной седации или общей анестезии. Для глубокой седации обязательно обеспечьте сопровождение. Безопасность пациента важна до, во время и после безболезненного лечения зубов.

    • Как часто пациент может проходить лечение зубов под седацией?

      Жёстких ограничений нет. Лёгкая седация (например, веселящий газ) может использоваться регулярно для безболезненной ортодонтии, безболезненного лечения каналов или удаления зубов. Глубокая седация применяется выборочно. Мы всегда оцениваем состояние здоровья пациента перед процедурой.

    • Какие возможные побочные эффекты седационной стоматологии?

      Большинство пациентов не ощущают побочных эффектов. Иногда может возникнуть лёгкое головокружение или сухость во рту. Благодаря безболезненным технологиям стоматологии побочные эффекты редки и минимальны — мы всегда контролируем ваше состояние.

    • Почему пациенты выбирают Dynasty Stomatology?

      Потому что мы лечим не только зубы — мы заботимся о людях. Индивидуальный подход, профессиональный стоматолог, полная релаксация у стоматолога и психологический комфорт формируют новый стандарт — стоматология без боли. Такой уровень заботы помогает формировать доверие к стоматологу.

    • Что на самом деле означает безболезненная стоматология?

      Это означает — без боли, без стресса, без страха. Мы объединяем безболезненные стоматологические технологии, инновационные методы и заботливую коммуникацию, чтобы обеспечить комфортные процедуры и индивидуальный подход. Это полностью соответствует тому, что ищут пациенты в премиум-клиниках, а также тем, кто хочет понять, как побороть страх у стоматолога.

    • Предлагаете ли вы седацию для детей?

      Да. Мы предлагаем комфортное лечение под закисью азота и другие методы, чтобы ребёнок чувствовал расслабление у стоматолога и не формировал страх перед стоматологом в будущем.

    • Что такое седация?

      Седация — современный метод, который помогает обеспечить спокойное лечение и стоматологию без боли. Она может быть лёгкой (пациент бодрствует) или глубокой (пациент спит), что позволяет проводить безболезненное и безопасное лечение без стресса.

    • Как долго длится эффект оксида азота после процедуры?

      Закись азота выветривается в течение 5–10 минут после прекращения ингаляции. Обычно можно вернуться к обычной деятельности, включая управление автомобилем. Это идеальный вариант для быстрых и комфортных визитов к стоматологу без длительных побочных эффектов — динамика восстановления проходит максимально мягко.

    • Как долго длится эффект седации?

      Это зависит от типа седации. Веселящий газ действует несколько минут. Внутривенная или общая анестезия может длиться несколько часов, поэтому требуется отдых. Мы обеспечиваем плавный план восстановления после лечения, включая восстановление после седации.

    • Что следует делать до и после процедуры седации?

      До процедуры соблюдайте рекомендации относительно еды и лекарств. После — отдыхайте и избегайте интенсивных нагрузок. Независимо от того, это безболезненные импланты или косметическая стоматология, мы предоставляем полные инструкции для оптимального восстановления.

    • Какова разница между сознательной седацией и общей анестезией?

      Сознательная седация сохраняет вас бодрым и расслабленным — идеально для коротких процедур. Общая анестезия используется для долгих и сложных процедур. Оба метода обеспечивают лечение зубов во сне.

    • Каковы преимущества антистрессового лечения зубов в клинике Dynasty Stomatology?

      • Максимальный комфорт и безопасность лечения.
      • Меньше визитов благодаря глубокой седации.
      • Быстрое восстановление.
      • Снижение тревоги и эмоциональное облегчение.
      • Доверие к современному стоматологическому подходу.
      • Персонализированная опека для каждой потребности.

    Есть ещё вопросы? Давайте поговорим.

    Наша команда поможет сделать ваш следующий визит к стоматологу спокойным, безопасным и абсолютно без стресса. Независимо от того, боитесь ли вы боли или сомневаетесь в седации — врач-анестезиолог подберёт для вас правильное антистрессовое лечение.

    Позвоните нам сейчас!

    Подробнее об антистрессовом лечении

    Антистрессовое лечение

    Стоматологическая анестезия: виды, побочные эффекты и риски

    Анестезия в стоматологии — ключ к комфортному и беззаботному лечению. Независимо от того, собираетесь ли вы наложить пломбу или провести более сложную процедуру, знание доступных видов анестезии, а также их возможных побочных эффектов и рисков поможет вам чувствовать себя увереннее и спокойнее. Знание о стоматологической анестезии позволит вам лучше понять,…

    Читать статью Смотрите наши цены

    Записаться

      Ваша информация
      Дополнительно
      Нажимая кнопку, вы соглашаетесь на обработку ваших персональных данных в соответствии с политикой конфиденциальности.

      Заказать звонок

        Кликните на кнопку, вы узнаете вашу акцию вашей личной даты в соответствии с политикой конфиденциальности.
        Обзор конфиденциальности

        На этом сайте используются файлы cookie, что позволяет нам обеспечить наилучшее качество обслуживания пользователей. Информация о файлах cookie хранится в вашем браузере и выполняет такие функции, как распознавание вас при возвращении на наш сайт и помощь нашей команде в понимании того, какие разделы сайта вы считаете наиболее интересными и полезными.