Logo
Digital dentistry

Digital dentistry that makes you smile at Dynasty Stomatology

At Dynasty Stomatology, digital dentistry is more than just modern equipment — it’s a patient-first approach built on accuracy, comfort, and results. Every step of your treatment is integrated into one seamless digital workflow, planned with care for your time, expectations, and peace of mind. From the very first scan to your final restoration, everything is tailored to you — in one clinic, with one team.

Why patients choose our dental clinic for digital smile
design and treatment plans

Digital dentistry

All in one place

At Dynasty Stomatology, you won’t need to travel between clinics or wait for external labs. We provide a full digital dentistry cycle under one roof — from intraoral scanning to the final restoration. Every process is structured to save you time and avoid unnecessary delays. Your treatment is designed around your schedule and needs, not the other way around.

Digital dentistry

Advanced digital technology

We combine high-end digital tools with a human-first approach. From optical 3D scanning and digital X-rays to CAD/CAM restorations and virtual smile previews — every step is precise, fast, and minimally invasive. Our in-house lab and experienced dental technicians ensure accuracy without outsourcing.

Digital dentistry

Personalized care

We don’t offer a standard plan — we create your plan. Digital tools allow us to simulate the result, walk you through the steps, and adjust treatment to your comfort and goals. You’ll know what’s coming, how it will feel, and how it will look — before we begin. That’s how we turn precision into trust.

Key advantages of digital dentistry and digital technologies in modern dental care

Digital dentistry offers a new level of comfort, precision, and speed in the modern field of dentistry. Thanks to intraoral scanning technology, patients no longer need to undergo uncomfortable physical impressions. Our digital dental impression provides a highly accurate 3d image of the patient’s teeth and gums, allowing the dentist to create a precise treatment plan with better outcomes and fewer adjustments for the patient’s teeth.

 

Using CAD/CAM dentistry and computer-aided design, dental restorations (such as crowns, veneers, or inlays) are crafted with exceptional digital precision and delivered faster than traditional work from dental laboratories. This efficient digital dental workflow shortens treatment times and vastly improves the overall patient experience, especially for those with dental anxiety.

 

The use of digital 3d printing and dental milling machine enables on-site production of restoration. Digital smile design tools help patients visualize results before dental treatment starts, which builds confidence and improves communication between the dentist and patient. Digital solutions in prosthodontics, dental implant planning software, and digital orthodontics make the entire treatment process more predictable and less invasive. As a result, digital technologies are shaping the future of dentistry, offering long-term benefits for both dental professionals and patients.

Digital dentistry

Ready to transform your smile with digital precision?

Leave your contacts — and we’ll get in touch to create a personalised, clear, and realistic treatment plan tailored to your budget, needs, and lifestyle.

At Dynasty Stomatology, you’ll receive full diagnostics, transparent pricing, and a care-first approach — from your first scan to your final smile.

Digital dentistry treatment process: from intraoral
scan to smile design

Step 01

Step 02

Step 03

Step 04

Step 05

Step 01

01

Step 1 — Initial consultation and digital dental scan

During the first visit, the dentist performs an oral examination and captures a digital impression using the intraoral scanner. This step eliminates discomfort and provides a precise 3d image of the patient’s teeth and gums.
Step 02

02

Step 2 — Virtual treatment planning

The acquired data is transferred into dental CAD software for accurate virtual treatment planning. This allows the dental team to simulate results and develop a tailored plan with digital precision.
Step 03

03

Step 3 — Smile design and patient approval

Using digital smile design tools, the patient can preview their future smile on a computer screen. This vital step improves communication and builds trust before the treatment starts.
Step 04

04

Step 4 — Fabrication using CAD/CAM and 3D printing

Restorations such as crowns, veneers, or inlays are produced using chairside CAD/CAM systems, the dental milling machine, or 3D printing technology. This ensures a perfect fit and reduces turnaround time. This is the stage of 3d dental printing.
Step 05

05

Step 5 — Final placement and follow-up

The final prosthetic work is fitted and adjusted, ensuring comfort and function. Aftercare instructions and digital monitoring may be provided to ensure the long-term success of the prosthetic work.

Our doctors

View all doctors
Digital dentistry

Anastasiia Danyliuk

  • General dentist
  • endodontist

Focuses not only on treatment effectiveness but also on patient comfort. Her main goal is to provide long-term results without the need for repeate…

Digital dentistry

Yana Tereshchenko

  • General dentist
  • endodontist

Cares about both the health and the aesthetic and functional aspects of her patients’ teeth, helping preserve a natural, beautiful smile for years.

Digital dentistry

Yuliia Rudzynska

  • Pediatric dentist

Helps children not only maintain healthy teeth but also develop a positive attitude toward dentistry, ensuring fear-free visits.

Digital dentistry

Borys Minakov

  • Prosthodontist

His approach focuses on individually tailored treatment plans that not only solve current issues but also prevent future ones. This helps patients …

Digital dentistry

Kostiantyn Danyliuk

  • Oral Surgeon
  • Implantologist

Konstantin is a skilled specialist who combines in-depth knowledge and cutting-edge technology to achieve the best results. He maintains active com…

Digital dentistry

Vladyslav Karkachov

  • General dentist
  • endodontist
  • prosthodontist

Relies on a well-thought-out treatment plan and good rapport with the patient. A friendly approach helps build trust, even among those afraid of de…

Digital dentistry

Yulia Kryzhanovska

  • General dentist
  • endodontist

A doctor with a sense of humor who creates a positive atmosphere even in the dental chair.

Digital dentistry

Dmytro Ostrovskyi

  • Prosthodontist

Over 30 hands-on courses completed in 9 years of practice. A comprehensive approach guarantees stable, durable, and predictable results.

Digital dentistry

Tetiana Pererva

  • Orthodontist

Over 5000 orthodontic cases in 16 years of practice. Believes orthodontics is about more than straight teeth — it’s about facial harmony. Actively …

Digital dentistry

Rafal Kazanecki

  • Oral surgeon
  • implantologist

His experience in implantology and surgery allows him to effectively implement modern technologies, enabling quick and safe procedures. Rafał activ…

Digital dentistry

Rostyslav Savruk

  • General dentist
  • endodontist
  • prosthodontist

Over 16 years of professional experience. Specialization in prosthetic dentistry and dental prosthetics. Use of advanced techniques and modern mate…

Digital dentistry

Oleg Vus

  • General dentist
  • endodontist
  • prosthodontist

Oleg Vus is guided by the principles of professionalism, honesty, and patient care. He does not impose unnecessary procedures, but offers only the …

Digital dentistry

Ivan Olefirenko

  • Anesthesiologist

Ivan is an experienced specialist who combines professionalism with an individualized approach to each patient. He started his career in a transpla…

The works of our doctors

View all our doctors' works
Digital dentistry
Digital dentistry

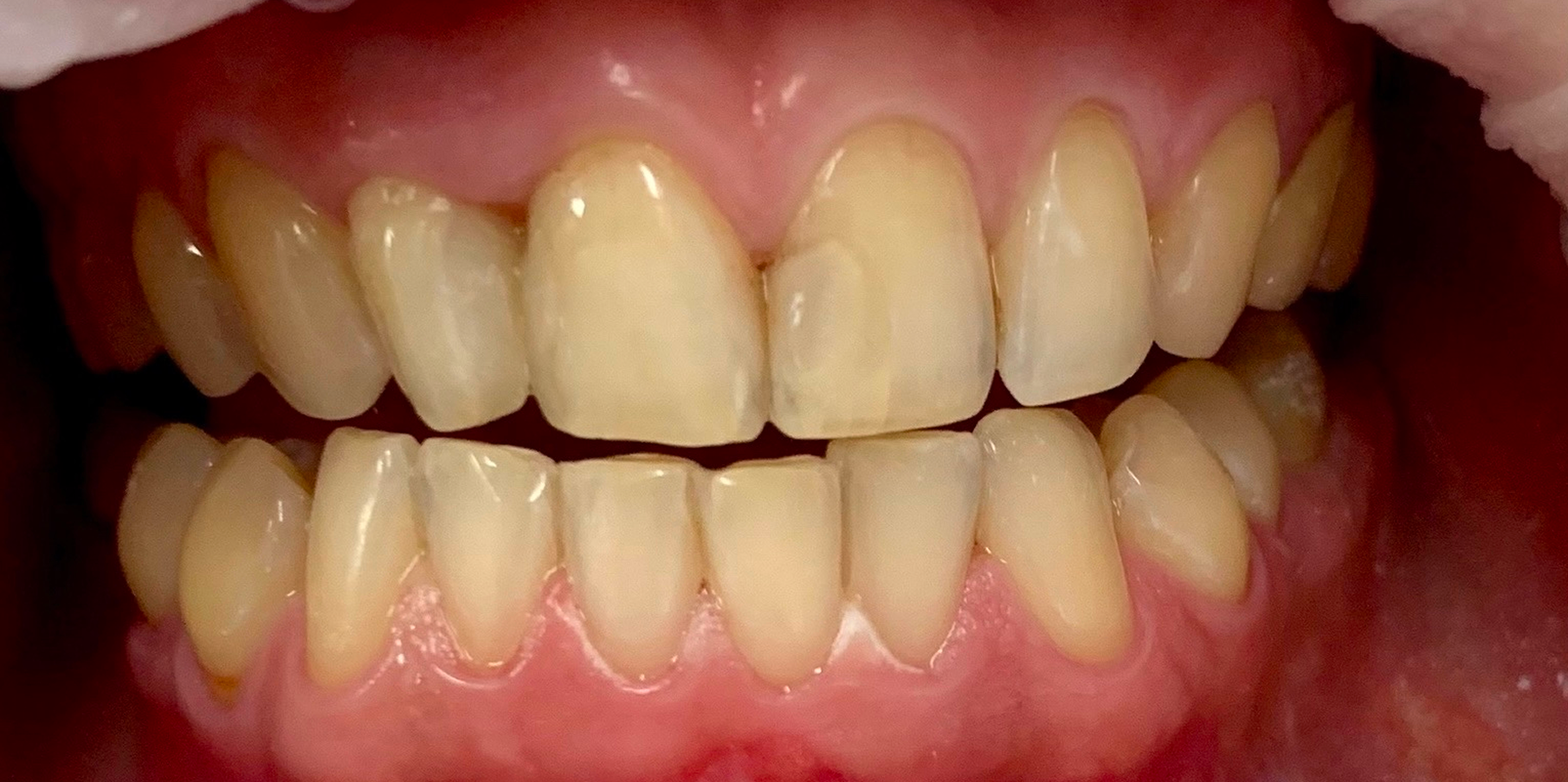
Problem: Comprehensive treatment was performed on tooth №25. First, endodontic treatment was carried out to preserve the vitality of the tooth, followed by the fabrication and placement of a post-core restoration to ensure reliable restoration of the internal structure. The final step was the installation of a zirconia crown, which not only restored functionality but also provided the tooth with a natural, aesthetic appearance.

Know more
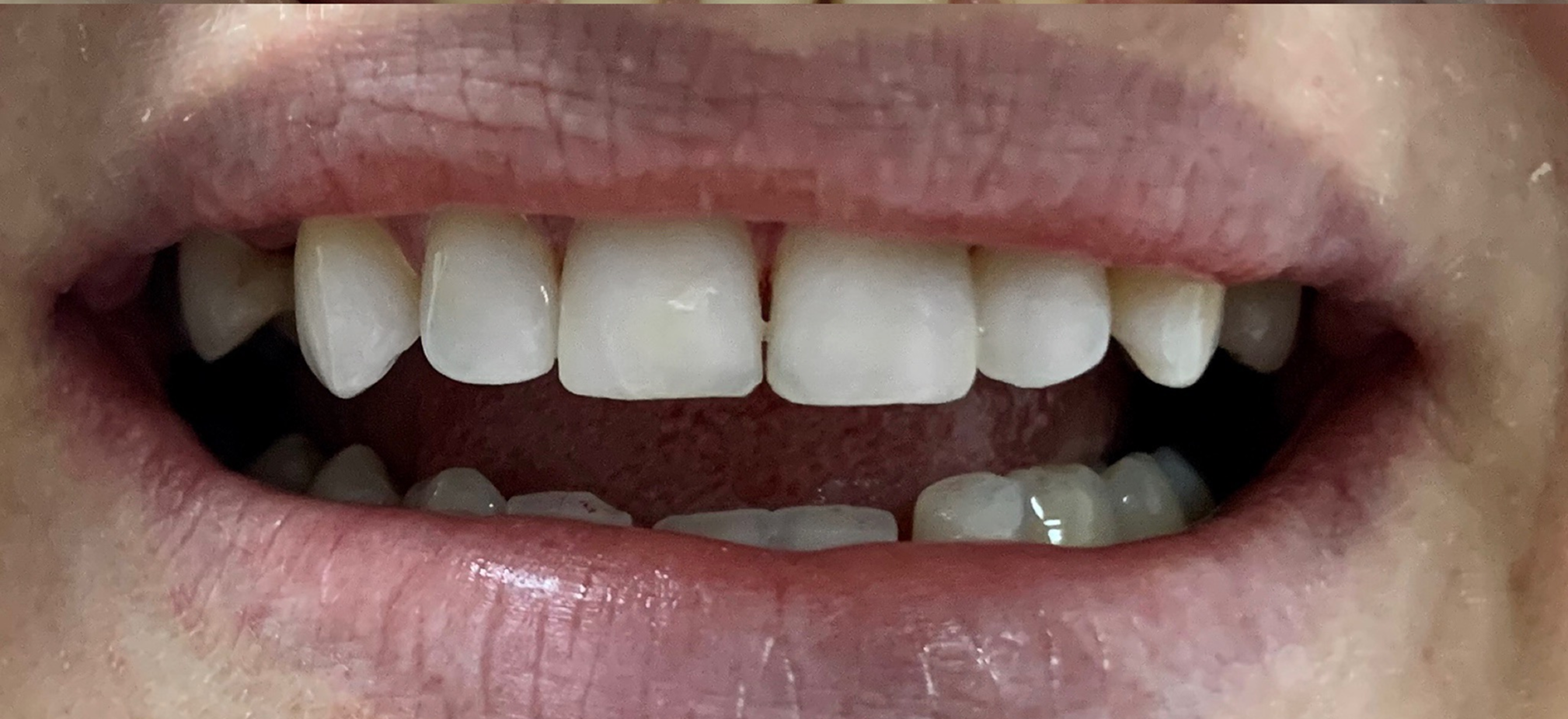
Digital dentistry
Digital dentistry

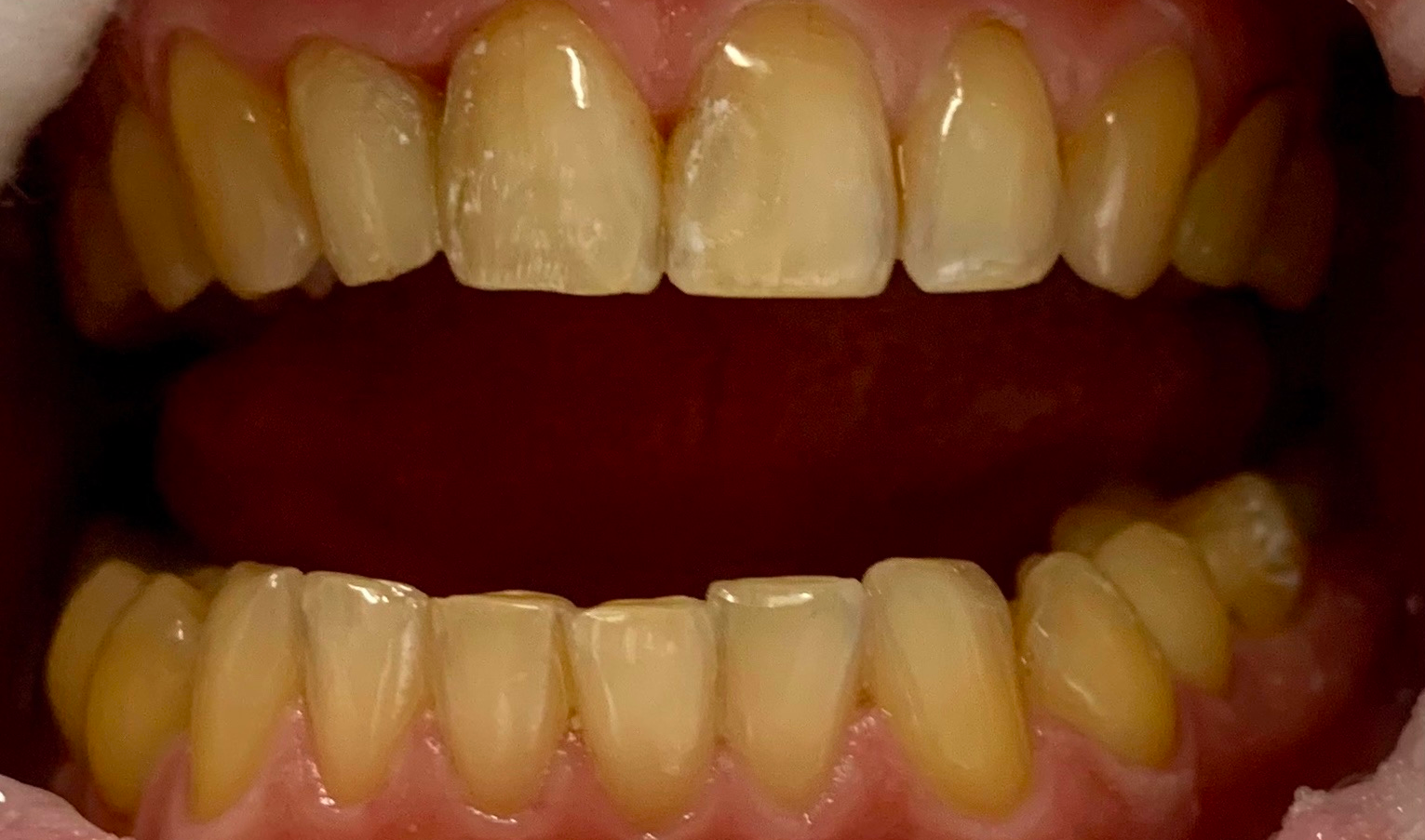
Problem: The patient presented with bleeding gums and an old bridge. Over 3 months, full treatment was done: retreatment of root canals, tooth restoration, and zirconia crowns — the gums are healthy, and the teeth look functional and aesthetic.

Know more
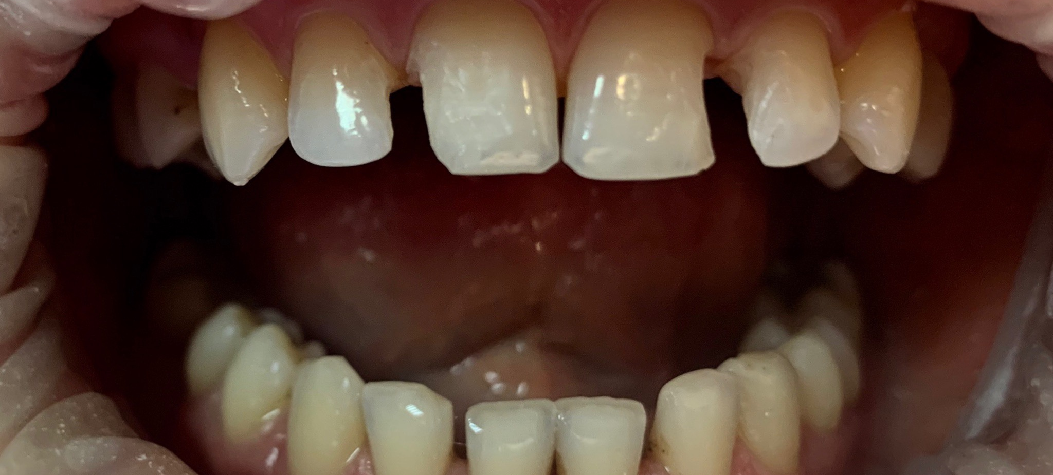
Digital dentistry
Digital dentistry

Problem: Secondary caries was detected on teeth №6 and №7. Thorough treatment of the cavities was performed, followed by restoration using EsteLite photocomposite. The final step was polishing, which provided an aesthetic appearance and long-lasting functionality of the restoration.

Know more
Digital dentistry
Digital dentistry

Problem: Caries of the distal wall and occlusal surface was detected on the tooth. A thorough treatment of the cavity was performed, followed by restoration using EsteLite photocomposite. The final step was polishing, which provided the restoration with a natural shine and smoothness.

Know more
Digital dentistry
Digital dentistry

Problem: When fissure caries was detected, thorough treatment of the cavity was performed with the removal of all affected tissue. To restore the tooth, high-quality photocomposite EsteLite was used, allowing for an accurate reproduction of the natural color and texture of the enamel. The final step was polishing, which gave the restoration a natural shine and durability.

Know more
Digital dentistry
Digital dentistry

Problem: The patient came with minor discomfort and discoloration of a front tooth. A hidden cavity was discovered and treated using Asteria A2B, ensuring an invisible, natural-looking restoration that fully restored function.

Know more
Digital dentistry
Digital dentistry

Problem: The patient sought to enhance her smile due to uneven tooth color and unsatisfactory restorations. After Beyond whitening and replacement of restorations, the result was a natural, harmonious smile.

Know more
Digital dentistry
Digital dentistry

Problem: The patient reported pain when chewing and sensitivity to temperature. A deep cavity was treated using a rubber dam and Asteria Estelite A2B material — restoring both the function and natural aesthetics of the tooth.

Know more
Digital dentistry
Digital dentistry

Problem: The patient reported sensitivity and dark spots around previously restored front teeth. Secondary decay was treated, and the teeth were restored with Asteria Estelite A1B, NE, resulting in a natural look and complete relief from discomfort.

Know more
Digital dentistry
Digital dentistry

Problem: The patient experienced pain and heaviness in a tooth, especially when eating. A deep cavity was found and treated using Asteria Estelite A2B and OcE — sensitivity disappeared, and the restoration looks completely natural.

Know more
Digital dentistry
Digital dentistry

Problem: The patient reported pain after eating sweet and hot foods, tooth discoloration, and food getting stuck. Deep decay was treated under rubber dam isolation, and the tooth was restored with Asteria Estelite A1B and OcE, providing a natural look and full functionality.

Know more
Digital dentistry
Digital dentistry

Problem: Following an injury, the patient presented with chipped front teeth and increased sensitivity. Restoration with Asteria Estelite A1B, NE fully restored the shape, function, and natural appearance of the teeth.

Know more

Feedback from our patients

4.8

based on 817 reviews on Google

The Dynasty Stomatology team at Romanowicza 4B were incredibly welcoming from the moment I arrived. The receptionist was a clear and helpful communicator whose English was excellent, and my professional hygiene appointment with Anastasiia was the best I’ve had. She gave clear explanations throughout, anticipated my questions both before and after the procedure, and her genuine care for her patients’ dental health was evident in the guidance she provided. She also managed to make a 1.5-hour appointment completely free of discomfort. Today’s experience (the first of several appointments I’ve scheduled with Dynasty) gives me confidence in the decision to travel here for dental care. Edit from follow-on appointments: No substantive change from my initial review, beyond even more positive thoughts. I should similarly point out how fantastic Michael (apologies for anglicized spelling) was, not only for his expertise in radiography, but his friendly willingness to help communicate with other dental professionals at the clinic (Dynasty serve many nationalities and have many polyglots on staff, but not everyone can speak everything!) when he wasn't busy operating their CT. Most importantly of all, Dr. Rafal Kazanecki – he was not only fantastic in the clinic, but has been wonderful and very dedicated despite my not residing in Krakow, helping direct me in dental affairs remotely during a few-month window I've been unable to travel. Now a few months in, I feel that my initial confidence and positive view of the practice was well-placed, and look forward to being able to continue with Dr. Kazanecki at Dynasty.

25.02.2026
Source: Google Reviews

I'm a client here for more than a year. Here, I removed 3 wisdom teeth, was very affraid, but thanks to Dr. Kostyantyn Danyliuk, all 3 operations went painless, and successful, approached carefully and neatly! Also huge thanks to Dr. Yana Tereschenko and her sweet assistant – who are true professionals fully dedicated to their jobs! Girls on reception are always very welcoming, higly recommend ♡

17.02.2026
Source: Google Reviews

I’ve been a customer of this clinic for quite a while now. Very professional doctors, very good and friendly stuff. The most beneficial point is they open long hours everyday. Speaks: Polish, English and Ukrainian

15.01.2026
Source: Google Reviews

A very pleasant dental clinic. There are many doctors, including narrow specialists such as surgeons, and they have their own CT scanner. The clinic was founded by Ukrainians, so in addition to Polish, Ukrainian and Russian are also spoken, which makes it more comfortable for people of Ukrainian origin. Another plus is its convenient location close to the city center.

17.12.2025
Source: Google Reviews

Catherine

I needed mouth care during pregnancy. The doctor chose a gentle treatment, the procedures were without pain and excitement. Now I know that the baby is safe.

12/06/2025

Galina

I was suffering from frequent night awakenings and shortness of breath. The doctors explained that this was apnea and suggested that I try a personalized mouth guard. After a few weeks I felt like a living person. Thank you for your attentiveness and the result!

12/06/2025

Denis

We did fluoridation of my son’s teeth at Dynasty Stomatology – the effect is excellent. They have become less sensitive and we have peace of mind about their health. Thank you very much to the clinic for their care and professional approach!

10/06/2025

Tamara

I thought that at my age herpes is already the norm, but the doctor explained how to control the disease and live without frequent rashes on the lips. After a course of treatment exacerbations stopped.

10/06/2025

Perfect place and service! First of all I liked your hospitality, all questions were answered quickly and precisely thanks to office-manager Julia. Secondly, treatment was excellent. I did not feel anything during the procedure. Dr. Rostislav checked to ensure that everything was fine and that I was not experiencing any discomfort. Highly recommend

03.10.2025
Source: Google Reviews

Natalia Szymańska

They recommend braces depending on your teeth and ensure the installation is done carefully. I am really impressed. Thanks to everyone here. Highly grateful!

09/07/2025

Sergey

I had a supernumerary tooth, and it was transplanted to the area of missing teeth. It’s been six months — everything is stable, the tooth took well. Care is simple, the main thing is to be cautious in the first weeks and follow recommendations.

05/12/2025

Svetlana

I had 4 implants placed due to complete tooth loss. Every step was fast, accurate, and pain-free. Four months later, I received my prosthetic. Now I can smile and eat my favorite food again.

03/11/2025

Do you want to treat your teeth with digital dental services?

Schedule an appointment!

    By clicking the button, you give your agreet your personal data in accordance with privacy policy.

    Digital dentistry services we provide at our
    dental clinic

    Digital dentistry

    Ceramic inlays using CAD/CAM technology

    Tooth damage caused by decay, chipping, or failed fillings requires not only functional restoration but also high aesthetics. A ceramic…
    Read more
    Digital dentistry

    Ceramic veneers using CAD/CAM technology (digital veneers)

    A radiant smile always looks beautiful, promotes good health, and attracts attention. And it’s absolutely achievable! Modern dentistry opens up…
    Read more
    Digital dentistry

    Ceramic crowns using CAD/CAM technology

    Ceramic crowns made with advanced technology like CAD/CAM technology blends aesthetics and functionality perfectly together.  A patient will get high…
    Read more
    Digital dentistry

    Digital Dentistry

    Dentistry has witnessed a significant technological revolution in the last few years. The foray of CAD/CAM technologies has made dental…
    Read more
    Digital dentistry

    Digital smile Design

    Thanks to the advent of modern digital technologies, you can attain a beautiful smile with dental aesthetics treatment. This procedure…
    Read more

    Digital dentistry services cost: scans, crowns, veneers

    All prices
    • Custom Items

      • Consultation + examination and treatment plan
        250 PLN
      • 3D scan (one jaw)
        200 PLN
      • Tomography of 1 jaw
        250 PLN
      • Tomography of 2 jaws
        350 PLN
      • Zirconia crown on a baby tooth
        400-700 PLN
      • E-max crown
        2 500 PLN
      • General consultation + treatment plan
        250 PLN
      • Zirconia implant crown
        3 000 PLN
      • Veneer E-max
        2 500 PLN

    You may also be interested in

    All services
    Digital dentistry

    Dental therapy

    Cavities, sensitivity, pain — these are issues that should not be postponed. In our dental clinic, we provide modern, painless treatment, during which every patient feels confident. Dentistry in Poland is becoming accessible — choose a careful approach and quality without compromise.

    More details
    Digital dentistry

    Root canal treatment

    Pain while chewing or persistent inflammation signals issues with the roots of the teeth. We use a microscope, precise equipment, and modern endodontic techniques. As a result, dental treatment in Poland is quick, high-quality, and requires no repeat visits.

    More details
    Digital dentistry

    Pediatric dentistry

    Children often fear doctors — it's natural. But not with us. Treatment is carried out by a dedicated children's dentist. His main goal is to make the visit painless and stress-free. We build trust from the very first appointment, so that dentistry in Poland for Ukrainians is a pleasant experience.

    More details
    Digital dentistry

    Dental surgery and implantation

    Tooth loss is not just an aesthetic issue, but also a functional impairment. We offer implantation at our clinic with full support: diagnostics, 3D modelling, and implant placement. We restore your smile as before the loss — dentistry in Poland with attention to detail.

    More details
    Digital dentistry

    Dental prosthetics

    Damaged or missing teeth? The problem can be solved with a precisely fitted crown or bridge. In our dentistry in Poland, we perform tooth prosthetics considering bite, aesthetics, and your preferences. Smile confidently again; it’s easy with our services.

    More details
    Digital dentistry

    Orthodontics

    An incorrect bite or crowded teeth is not only visually unappealing but also functionally inconvenient. We provide tailored orthodontic solutions for adults and children. The result is a healthy, harmonious smile. Your dentistry in Krakow for Ukrainians is right nearby.

    More details
    Digital dentistry

    X-ray and diagnostics

    Inaccurate diagnostics lead to ineffective treatment. We perform CT scans and 3D imaging right in the dental clinic. It’s convenient, quick, and without unnecessary visits. Dentistry nearby is always the right choice.

    More details
    Digital dentistry

    Periodontology

    Bleeding gums and bad breath are signs of periodontitis. Our multilingual doctors in Poland carefully restore gum health and prevent tooth loss. Your treatment is supervised by an experienced dentist in Krakow.

    More details
    Digital dentistry

    General anaesthesia

    Fear of treatment? Panic attacks or complex procedures? General anaesthesia is a safe option for a comfortable sleep during treatment. You wake up, and it’s all over. This option is available in dentistry in Poland for Ukrainians.

    More details

    Expert articles on the topic

    View all blog
  • 06.01.2026

    108

    8 min. read

    Dental Prosthetics – The Secret to a Beautiful Smile

    A healthy smile isn’t just about looking perfect. It’s about how comfortable you are when you eat, how freely you speak, and how confident you feel when you smile. After all, if you have chips, cracks, or missing teeth, your lifestyle changes. That’s why dental prosthetics plays a crucial role in restoring your sense of […]

    Read more
  • 27.10.2025

    213

    8 min. read

    Premium veneers without pain or compromises: how we preserve enamel and achieve the perfect smile line

    You may have already thought more than once about improving your smile with veneers. You are inspired by the examples…

    Read more
  • FAQ: Digital dentistry, intraoral scanning,
    3D printing, and more

    • How long does a digital dentistry procedure usually take compared to traditional methods?

      Digital dentistry significantly reduces overall treatment time. While some procedures still require a few days for fabrication — typically from 4 to 7 days after digital impressions — the digital dental workflow is much faster than traditional methods that involve manual molds and external labs. Chairside CAD/CAM systems and virtual planning also help streamline the entire process.

    • Can digital smile design show me the results before treatment begins?

      Absolutely. Digital smile design allows you to preview your future smile using computer-based simulations. This improves communication and helps you feel more confident before the procedure.

    • What materials are used in digital crowns and veneers?

      Digital crowns and veneers are typically made from zirconia or E-max ceramic. These materials are both strong and aesthetic, ideal for digital dental restoration CAD workflows.

    • Can digital dentistry help with full mouth restoration or just individual teeth?

      Digital solutions are effective for both single-tooth treatment and full mouth restoration. Virtual treatment planning and 3d dental modeling ensure accurate and personalized patient care.

    • How do digital dentistry services and intraoral scanning improve patient comfort and reduce anxiety?

      • No physical molds. Intraoral scanning technology replaces messy traditional methods and bulky impression materials with a fast, comfortable digital scan. No more unpleasant gag reflex or plaster models — just a smooth, easy experience in the dental chair.

      • Fewer appointments. Thanks to CAD/CAM dentistry and virtual treatment planning, procedures are completed significantly faster than with traditional methods. Less time in the dental chair means less stress and more comfort for every patient.

      • Predictable results. Digital smile design lets patients preview their ideal smile and future dentition on a computer screen. Knowing what to expect helps reduce fear and builds crucial trust between the patient and the dental team.

    • How does digital technology improve communication between the dentist and the patient?

      Digital dental design tools like intraoral scanners and computer-based visuals enhance clarity. Patients better understand treatment options, outcomes, and timelines, reducing anxiety and misunderstandings.

    • Is digital dentistry suitable for children and adolescents?

      Yes, digital dentistry is suitable for children and adolescents. Intraoral scanning technology is non-invasive and more comfortable, especially for young patients who may struggle with traditional methods and gag reflex.

    • How accurate are CAD/CAM restorations compared to laboratory restorations?

      CAD/CAM dentistry offers high precision and consistency. Digital dental technology enables restoration with a perfect fit, often matching or exceeding the accuracy of traditional lab-made options.

    • Are digital dental restorations as durable as traditional ones?

      Yes, digital dental restorations are just as durable, if not more. With precise milling using dental CAD software and advanced materials, restoration can last many years with proper oral health care.

    • The role of 3D imaging and digital technologies in accurate dental diagnosis and planning

      3D imaging plays a crucial role in digital dentistry by providing a highly detailed view of the patient’s anatomical structures. Unlike traditional 2D x-rays (digital dental x-ray), a tomography or 3D dental scan captures the full shape, density, and position of the teeth, bones, and nerves. This level of accuracy allows dentists to make precise diagnoses and plan dental treatment — from implant placement using a surgical guide to orthodontics — with greater confidence. It also improves patient safety and reduces the risk of complications during procedures in the oral health field.

    • What maintenance or follow-up is required after digital dental treatment?

      Digital restorations require standard oral health care — regular brushing, flossing, and dental check-ups. Some treatment may include digital monitoring or updated digital impressions for follow-up.

    Still have questions? Contact us

    More about digital dentistry

    Digital dentistry

    The Benefits of CAD/CAM Digital Dentistry – advantages CAD/CAM over traditional methods

    Digital technologies are transforming modern dental care, and CAD CAM (Computer-Aided Design and Computer-Aided Manufacturing) is at the forefront of this evolution. CAD CAM dentistry allows dental professionals to design, fabricate, and place high-quality restorations with exceptional speed and precision. This article explores the benefits of CAD/CAM technology compared to…

    Read the article Check out our prices

    Schedule an Appointment

      Your Information
      Additional
      By clicking the button, you agree to the processing of your personal data in accordance with privacy policy.

      Request a Call

        By clicking the button, you give your agree your personal data in accordance with privacy policy.
        Privacy Overview

        This website uses cookies so that we can provide you with the best user experience possible. Cookie information is stored in your browser and performs functions such as recognising you when you return to our website and helping our team to understand which sections of the website you find most interesting and useful.