How to avoid surgery in the future — a case study of early orthodontic treatment at age 6
04.03.2026
22
5 min. read
Why Patients Trust Dynasty Stomatology
The trust in Dynasty Stomatology is built on a combination of many years of experience and an individual approach to every patient. We understand that a visit to the dentist is often accompanied by anxiety, so we place special emphasis on creating a comfortable and calm atmosphere where every patient feels safe.
The clinic is equipped with modern technology and uses advanced treatment methods, ensuring that procedures are carried out with maximum precision, efficiency, and comfort. All materials undergo strict quality control, and our doctors regularly improve their qualifications to offer only the most up-to-date and proven techniques.
In addition, Dynasty Stomatology values long-term relationships with patients. Our goal is not only to solve the problem at hand but also to maintain the health of teeth and gums for years to come. Openness, honesty, and transparency are the key principles that have earned the clinic its reputation as a reliable dental partner.
Facts about Dynasty Stomatology:
✅ Over 10 years of successful work in dentistry.
✅ Hundreds of positive reviews from patients in [Страна в соответствии с регионом] and abroad.
✅ We use premium materials from leading global brands.
✅ We offer treatment under sedation and general anesthesia.
✅ A full range of services — from pediatric dentistry to complex surgical operations.
Dynasty Stomatology — trust, expertise, reliability, and care for the beauty of your smile.
Learn about usMedical Expertise
Dynasty Stomatology’s doctors conduct medical reviews of all materials on the website to ensure their accuracy and practical value. Our authors and editors are experienced specialists in the fields of therapeutic, surgical, orthopedic, and pediatric dentistry. This approach allows us to maintain high professional standards and provide our readers with only verified, up-to-date, and useful information.
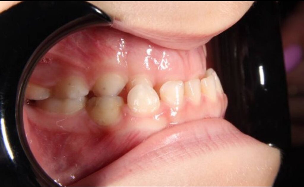
A mother brought her 6-year-old son to the Dynasty Stomatology clinic. She was confused: her son had already been examined at two other clinics, but the proposed options for correcting his jaw condition did not inspire confidence. One medical facility offered an outdated treatment plan involving a cap to restrain jaw growth. The other honestly admitted that they did not know how to proceed and referred her to our orthodontist specialising in jaw skeleton development pathologies.
Patient request
The mother had a clear request: to solve the problem of massive underdevelopment of the upper jaw against the background of excessive growth of the lower jaw. The child had no significant aesthetic complaints, but even at that stage, it was noticeable that the bite was forming incorrectly. The family’s expectations were to normalise the development of the facial bones, avoid surgery in the future, and preserve the functionality of the bite.

At first, the little patient’s mum was a bit worried: she wasn’t sure if the treatment would be comfy for her kid and was afraid it would be stressful for him. But after the first visit, she saw a plan that wasn’t just innovative, but also logical and easy to understand. This helped the mum and our young patient fully trust the clinic and start treatment.
How we conducted the diagnosis
To form an objective picture, we conducted a full range of research:
- Photo protocol — allowed us to capture the patient’s face in frontal and lateral projections for further analysis.
- Photometric analysis — assessed the ratio of soft tissues and facial symmetry.
- Digital scanning (impressions) — provided an accurate 3D model of the dental arches.
- Orthopantomogram (OPT) — allowed us to see the location of the permanent tooth buds.
- Cephalometric analysis is one of the key tools in diagnosing growth abnormalities. We assessed the relationship between the jaws and the skull base, which allowed us to model growth prognosis.
The results of the study confirmed the complexity of the case: without active intervention, the patient would have required double jaw surgery after 18 years of age.
Treatment plan
We proposed a two-stage solution based on modern approaches to growth correction:
- Marco Ross’s device — used to stimulate the growth of the upper jaw.
- The Dilar external oral appliance helps to correct the position of the upper jaw using external traction.

Why these devices? Because modern orthodontics does not inhibit growth but guides it in the right direction. And in the case of a 6-year-old child, this is the optimal age when it is possible to influence the development of the jaws with orthopaedic forces, without surgery.
My mother agreed to the treatment plan immediately. She understood that there were no other effective alternatives and that delaying would only complicate the situation.
How the treatment went
- We installed the devices in one day. Immediately afterwards, we briefed the parents.
- Marco Ross’s device was activated within 21 days. After activation was complete, the screw was secured to prevent it from unscrewing due to bone pressure.
- A follow-up examination was conducted after 3 months. After another 3 months, the structure was removed.
- The total duration of treatment was 6 months.
The adaptation period lasted approximately 14 days. The boy quickly got used to the device. He was not even frightened by the external mask — on the contrary, he called it a “superhero device” and joked that it looked like a robot.
Result
- The shape of the child’s face improved — this was noticed not only by doctors, but also by her parents.
- The growth of the upper jaw normalised, and the pressure on the lower jaw decreased.
- We prevented the formation of severe deformity, which would have required surgical intervention in adulthood.
- The child will avoid the need for braces in the future.
- Follow-up visits take place every six months to monitor growth.

The patient’s mother is not only satisfied — she recommends us to other parents who are unsure about when to see an orthodontist.
What parents should know
Many people still think that you should visit an orthodontist after all permanent teeth have erupted. But this is a misconception. Between the ages of 6 and 9, we can still influence the formation of the jaws and change the direction of bone growth, preserving the child’s aesthetics, functionality and self-confidence.
Late treatment (after the age of 13) often means losing the chance for gentle intervention. At this age, the skeleton is already formed, and it is practically impossible to change anything without surgery.
Cases such as that of our young patient are not uncommon. However, they require not universal solutions, but an individualised plan of action based on a thorough diagnosis.
Doctor’s conclusion
If we had not intervened in the development of his jaw now, after the age of 18, this boy would have faced surgical correction of his face — a complex, expensive and traumatic procedure. We modelled his growth rather than fighting the symptoms. And most importantly, we preserved the child’s psychological comfort and health.
A consultation with a paediatric dentist is the first step towards a healthy future
At Dynasty Stomatology, we believe that the best treatment is the one that can be avoided through prevention. If you notice changes in your child’s bite, don’t delay your visit.
Make an appointment with a paediatric dentist, and we will advise you on how to proceed.
Do you want to treat your teeth while you sleep?
Schedule an appointment!
By clicking the button, you give your agreet your personal data in accordance with privacy policy.