Acid erosion of enamel – main symptoms and treatment
01.08.2025
307
6 min. read
Why Patients Trust Dynasty Stomatology
The trust in Dynasty Stomatology is built on a combination of many years of experience and an individual approach to every patient. We understand that a visit to the dentist is often accompanied by anxiety, so we place special emphasis on creating a comfortable and calm atmosphere where every patient feels safe.
The clinic is equipped with modern technology and uses advanced treatment methods, ensuring that procedures are carried out with maximum precision, efficiency, and comfort. All materials undergo strict quality control, and our doctors regularly improve their qualifications to offer only the most up-to-date and proven techniques.
In addition, Dynasty Stomatology values long-term relationships with patients. Our goal is not only to solve the problem at hand but also to maintain the health of teeth and gums for years to come. Openness, honesty, and transparency are the key principles that have earned the clinic its reputation as a reliable dental partner.
Facts about Dynasty Stomatology:
✅ Over 10 years of successful work in dentistry.
✅ Hundreds of positive reviews from patients in [Страна в соответствии с регионом] and abroad.
✅ We use premium materials from leading global brands.
✅ We offer treatment under sedation and general anesthesia.
✅ A full range of services — from pediatric dentistry to complex surgical operations.
Dynasty Stomatology — trust, expertise, reliability, and care for the beauty of your smile.
Learn about usMedical Expertise
Dynasty Stomatology’s doctors conduct medical reviews of all materials on the website to ensure their accuracy and practical value. Our authors and editors are experienced specialists in the fields of therapeutic, surgical, orthopedic, and pediatric dentistry. This approach allows us to maintain high professional standards and provide our readers with only verified, up-to-date, and useful information.
Acid erosion of enamel is a growing concern in modern dentistry, often linked to lifestyle habits, acidic foods and drinks, and medical conditions like acid reflux. This progressive loss of tooth enamel can result in increased sensitivity, dental surface changes, and a greater risk of tooth decay. Patients may not immediately recognize enamel erosion, as it develops gradually and may initially be painless. However, enamel loss weakens the natural protection of teeth, leading to decayed enamel and long-term dental treatment needs.
What is dental erosion?
Dental erosion is the progressive loss of the enamel on teeth due to exposure to acids, not caused by bacteria. This process erodes tooth enamel, weakening the outer layer of the tooth and leading to visible signs of enamel erosion. As enamel for teeth wears away, it may result in tooth enamel loss and decaying tooth enamel, making the teeth more vulnerable to damage and sensitivity.
What are the symptoms and complications of dental erosion?
Dental erosion can develop gradually, often going unnoticed in the early stages. However, as erosion of tooth enamel progresses, it leads to noticeable and uncomfortable changes in the enamel on the teeth and tooth structure. Here are some common symptoms and complications:
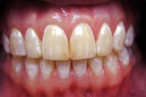
- Teeth become discoloured – as the enamel layer wears away, the yellowish dentin underneath becomes more visible.
- Teeth become sensitive to heat and cold – due to lost tooth enamel exposing inner tooth layers.
- Teeth look shorter – caused by the gradual erosion in tooth and wearing down of the tooth surface.
- Teeth chip or break more easily – weakened enamel leads to more fragile surface teeth.
- Teeth may develop sharp or uneven edges – due to eroded enamel and loss of tooth structure.
Acid erosion can cause teeth rust, which refers to discoloration and surface degradation of enamel similar to metal rusting.
Recognizing these enamel erosion symptoms early helps in timely enamel repair and avoiding more invasive treatment options in later stages.

What causes dental erosion?
Dental erosion happens in two steps:
- Contact with acid starts to weaken and soften the enamel on your teeth (outer layer of enamel).
- The softened enamel of the tooth is worn away during eating and chewing.
This process leads to teeth acid erosion, decay of tooth enamel, and gradual dental enamel loss, especially without steps to protect your teeth or prevent erosion.
There are both external and internal sources of acid that can erode enamel and lead to tooth enamel erosion, dental erosion, and enamel loss.
External sources of acid include:
- fruit juices;
- soft drinks (including sugar-free);
- sports and energy drinks;
- citrus fruits (lemon, orange, grapefruit);
- vinegar;
- foods with additives such as citric acid, sodium citrate or phosphoric acid;
- alcohol.
Internal sources of acid include:
- excessive vomiting (e.g., bulimia nervosa);
- gastric reflux (GORD);
- reduced saliva production, which impairs the ability to neutralize acid and protect teeth.
Link between acid reflux and enamel erosion in adults
Chronic acid reflux, also known as gastroesophageal reflux disease (GERD), is a major internal cause of enamel erosion in adults. When stomach acid repeatedly comes into contact with the enamel of a tooth, it begins to break down the outer layer, leading to tooth erosion. Over time, this erosion of the tooth surface may result in tooth discoloration, tooth sensitivity, and even enamel decay. Since enamel has no living cells, once it’s damaged, the body can’t naturally restore tooth structure. Therefore, managing acid reflux disease is crucial to protect your tooth enamel and prevent enamel loss.
How enamel erosion differs from tooth decay
Enamel erosion is the gradual loss of the enamel tooth surface due to acid exposure, often from acid erosion teeth caused by acidic foods or internal acid sources. In contrast, decay in enamel results from bacterial activity that produces acid, leading to cavities. While both processes damage enamel and may require teeth restoration or tooth bonding, their causes and treatment approaches differ.
When should you see your dentist?
It’s important to see your dentist promptly if you notice signs of enamel erosion or tooth damage. Early intervention can help fix enamel and prevent tooth decay. Regular dental visits support repair of teeth and maintain healthy teeth with enamel.
Situations When You Should Schedule a Dentist Appointment:
- When teeth become sensitive or painful.
- If enamel erodes or wears away visibly.
- In severe cases of enamel erosion.
- When you notice rust teeth or discoloration.
Impact of enamel erosion on long-term oral health
Enamel erosion can significantly impact long-term oral health by weakening the layer of your teeth and increasing the risk of tooth enamel from erosion. Without proper treatment methods and preventing enamel erosion, later stages of enamel erosion may lead to tooth extraction or the need for extensive restoration on teeth.
How is dental erosion treated?
Dental erosion treatment depends on the severity of enamel loss and focuses on repairing and restoring affected teeth. Common methods used to treat enamel erosion include:
- Veneers to cover and protect damaged enamel.
- Fillings to repair small areas of tooth decay.
- Crowns to restore shape and function for severely eroded teeth.
- Root canal treatment when the tooth pulp is affected.
- Tooth extraction in severe cases where repair is not possible.
These treatments help repair teeth, restore tooth function, and protect the tooth from further erosion enamel damage.

Can dental erosion be prevented?
Dental erosion can be prevented by following simple but effective habits to protect your enamel and maintain smooth teeth. To help prevent enamel erosion, consider these tips:
- Limiting your intake of acidic foods and drinks, such as fruit juice and soft drinks.
- Using a straw to drink acid-containing drinks, to reduce acid contact with teeth.
- Rinsing your mouth with water after acid exposure.
- Drinking plain water instead of acid-containing drinks.
- Rinsing your mouth with water or milk after vomiting.
- Chewing sugar-free gum to increase saliva and dilute acid.
- Cutting down on alcohol consumption.
- Having regular dental or oral health check-ups.
These steps help prevent tooth enamel erosion and protect your teeth and gums from cause enamel erosion factors.
How Is Tooth Enamel Loss Treated in Dynasty Stomatology
At Dynasty Stomatology in Poland, we use modern enamel erosion treatment methods combined with an individual approach tailored to each patient. Our experienced doctors thoroughly assess the enamel erosion stages and perform precise diagnostics to determine the causes of tooth damage. We focus on patient comfort while providing effective teeth repair and care to protect your teeth from daily wear and causes acid erosion. If you already have some enamel erosion, our specialists will help stop it from getting worse and support heal tooth processes.
Contact Dynasty Stomatology today for expert care and to protect your teeth with important minerals for a healthy, beautiful smile!
Acid erosion of enamel – Conclusion
In conclusion, acid erosion gradually wears away the enamel that helps protect your teeth, which can lead to increased sensitivity and higher risk of dental problems. Early recognition of symptoms and proper care, such as using fluoride and regularly brushing your teeth, are essential to prevent further erosion caused by contact with acid and teeth from daily use. Taking care of your teeth to prevent enamel loss is essential for long-term oral health.
FAQ
-
Can enamel erosion cause bad breath or a metallic taste in the mouth?
Erosion can cause changes in the tissue in the human body around the teeth, which may lead to bad breath or a metallic taste.
-
Is enamel erosion more common in children or adults?
Enamel erosion is called tooth wear and can occur in both, but adults often have more exposure to drinks on enamel and intrinsic erosion causes.
-
Are there specific toothpaste types recommended for eroded enamel?
Toothpastes with fluoride help protect your teeth and enamel helps protect your teeth against further erosion.
-
Can orthodontic treatment be done on teeth with enamel erosion?
Orthodontic treatment is possible but requires careful assessment since enamel wears away and teeth may be more sensitive.
-
Does stress or medication contribute to enamel erosion?
Stress can cause you to grind your teeth, which worsens erosion, and some medications increase acid, leading to intrinsic erosion.
-
Can whitening treatments worsen enamel erosion?
Whitening products contain acids that may affect tooth development and enamel is translucent, making enamel erosion worse.
-
How long does it take for noticeable enamel erosion to occur?
Erosion occurs gradually over time depending on acid exposure and contact with your teeth.
-
Are people with dry mouth at higher risk of enamel erosion?
Yes, because saliva neutralizes acid; without it, erosion can cause faster enamel wears away.
-
What is the difference between abrasion, attrition, and erosion?
Erosion is caused by acid wearing away enamel, while abrasion and attrition are mechanical wear types affecting teeth for tooth contact.
-
Can diet changes reverse early stages of enamel weakening?
Early enamel erosion is to prevent by reducing acid intake and protecting enamel helps protect your teeth from further damage.
Do you want to treat your teeth while you sleep?
Schedule an appointment!
By clicking the button, you give your agreet your personal data in accordance with privacy policy.